当前位置:肿瘤瞭望>百家>病例>正文

龚畅/曾银朵教授团队丨32岁年轻三阳性乳腺癌术后快速转移合并顽固性骨髓抑制:多学科协作破局治疗危机

作者:肿瘤瞭望   日期:2026/2/12 10:47:14  浏览量:513

肿瘤瞭望版权所有,谢绝任何形式转载,侵犯版权者必予法律追究。

在乳腺癌的分子分型诊疗时代,HR+/HER2+(三阳性)乳腺癌因兼具内分泌与靶向治疗靶点,通常被认为预后相对良好。然而,临床中部分“三阳性”病例却表现出极强的侵袭性。32岁,是人生繁花似锦的年纪,王女士在乳腺癌术后9个月便遭遇骨、脑多发转移,更在放化疗后陷入顽固性重度骨髓抑制的生死危机。面对凶险肿瘤与致命毒性的双重夹击,多学科团队通力协作、精准破局,从危机四伏到转危为安。今天,我们一同走进这个充满转折与希望的病例,见证医学温度与协作力量如何为年轻生命续航。

编者按:在乳腺癌的分子分型诊疗时代,HR+/HER2+(三阳性)乳腺癌因兼具内分泌与靶向治疗靶点,通常被认为预后相对良好。然而,临床中部分“三阳性”病例却表现出极强的侵袭性。32岁,是人生繁花似锦的年纪,王女士在乳腺癌术后9个月便遭遇骨、脑多发转移,更在放化疗后陷入顽固性重度骨髓抑制的生死危机。面对凶险肿瘤与致命毒性的双重夹击,多学科团队通力协作、精准破局,从危机四伏到转危为安。今天,我们一同走进这个充满转折与希望的病例,见证医学温度与协作力量如何为年轻生命续航。
 
基本信息
 
患者王女士(化名),32岁,已婚已育,既往月经规律,使用戈舍瑞林后停经。
 
无特殊既往史,无家族肿瘤病史。
 
早期阶段诊疗经过
 
2024年07月,王女士在外院接受右侧乳腺癌改良根治术+右腋窝淋巴结清扫术,病理:(右乳)肿瘤最大径3cm,浸润性导管癌2级,其中微乳头癌成分占20%。脉管侵犯,伴高级别导管原位癌。右侧腋窝淋巴结(4/29)见癌转移。IHC:ER 30%(弱-中等强度阳性),PR-,HER2(3+),Ki-67(40%+)。
 
诊断
 
右乳浸润性导管癌术后(pT2N2M0,IIIA期),Luminal B(HER2阳性)。
 
辅助治疗方案
 
化疗联合双靶治疗(2024-07至2024-11):EC(表柔比星+环磷酰胺)×4程序贯THP(多西他赛+曲妥珠单抗+帕妥珠单抗)×4程。
 
双靶向治疗(2024-11至2025-02):完成曲妥珠单抗+帕妥珠单抗治疗5次后,患者自行停药。
 
内分泌治疗(2024-11起):他莫昔芬联合戈舍瑞林。
 
放疗(2025-02结束):胸壁及区域淋巴结放疗25次。
 
晚期转移阶段的诊疗经过
 
王女士,自2025年4月起无明显诱因出现持续性腰部疼痛,伴头晕、恶心、呕吐,上述症状呈进行性加重。

2025年5月初就诊于龚畅教授、曾银朵教授团队,入院后团队立即完善检查并评估全身状况。

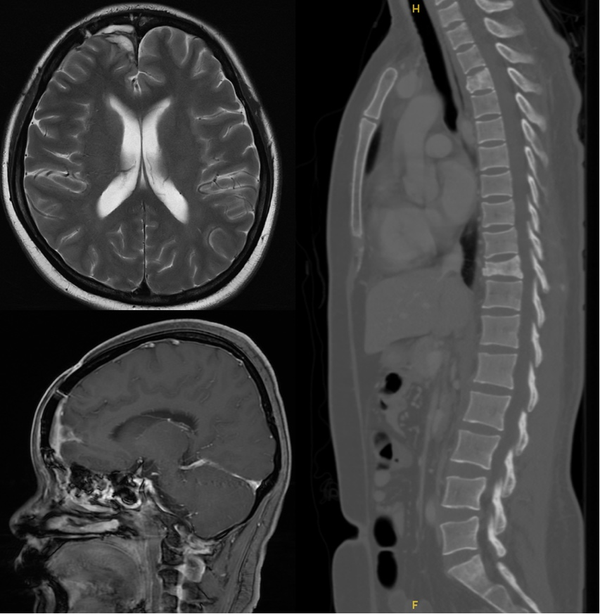
2025年5月胸腹盆CT及全脊柱MRI

脊柱多发转移瘤(T3、T10、L3椎体及附件,其中T10椎体合并病理性骨折)。左乳、肺、肝等未见明显异常。
 
 
2025年5月右髂骨病灶穿刺活检病理
 
低分化癌,符合乳腺癌转移。IHC:GATA-3(+)、TRPS1(+)、ER(约55%弱-中等+)、PR(约70%弱-中等+)、Her-2(3+)、Ki67(约60%+)。
 
 
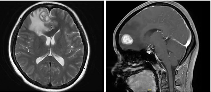
2025年5月头颅MR

右侧额叶占位(约24mm×18mm),考虑转移瘤。
 
 
诊断
 
右侧乳腺癌术后伴多发转移(骨、脑)IV期,Luminal B(HER2阳性)。
 
脑转移瘤局部手术治疗
 
神经外科会诊考虑患者为孤立性脑转移瘤,且存在明显占位效应,符合局部手术治疗条件,于2025-5-20行“右侧额叶占位显微切除+人工硬脑膜修补+颅骨骨瓣修补术”。
 
 
病理
 
(右侧额叶病灶)符合乳腺癌转移。IHC:GATA-3(+)、TRPS1(+)、ER约20%弱-中等(+)、PR<1%(+)、Her-2(3+)、Ki67约25%(+)、CAM5.2(+)、CK7(-)、CK5/6(-)。
 
 
一线治疗(2025-6-3开始)
 
白蛋白紫杉醇260mg/m2 q3w+曲妥珠单抗(首程8mg/kg,维持6mg/kg)+吡咯替尼400mg qd,戈舍瑞林(3.6mg q4w)。
 
患者于2025-6-3、6-25完成2周期治疗,期间出现2度骨髓抑制(白细胞及中性粒细胞计数降低),予以升白治疗后血象恢复正常。
 
转移灶放疗(2025-06-26至07-17)
 
脑转移瘤术腔+胸腰椎转移灶(T3-4、T9-10、L3-S1)姑息放疗(分次剂量300cGy,共16次)。
 
危机出现——难治性全血细胞减少
 
2025-07-17,患者出现三系降低(WBC 2.08×10?/L,Hb 91g/L,PLT 82×10?/L)。
 
尽管已予升白细胞(人粒细胞集落刺激因子300ug qd)、升血小板(海曲泊帕乙醇胺片5mg qd、重组人血小板生成素15000iu qd)等治疗,但期间动态复查血常规发现,患者仍出现进行性、持续性的全血细胞减少。其白细胞、中性粒细胞、血红蛋白与血小板呈同步显著下降趋势,提示骨髓造血功能重度受抑。
 
血常规动态监测(部分关键数据,如图所示)
 
07-17:WBC 2.1×10?/L,Hb 91g/L,PLT 82×10?/L。
 
07-21:WBC 1.10×10?/L,Hb 74g/L,PLT 22×10?/L,提示重度骨髓抑制。

 
全血细胞减少的相关鉴别诊断
 
1、肿瘤骨髓浸润:骨髓造血组织被白血病、骨髓瘤及转移瘤细胞等浸润,可影响骨髓正常造血细胞增殖。骨髓穿刺及活检可见癌细胞浸润,是诊断金标准。
 
2、放化疗后骨髓抑制:抗肿瘤药物能直接杀伤增殖细胞群,抑制或干扰粒细胞的代谢和分裂。药物的直接毒性作用造成粒细胞减少的程度与药物剂量相关。放射线可穿过或进入细胞,直接损害造血干细胞及骨髓微环境,可导致急性自限性和慢性骨髓损伤,引起血细胞减少。慢性损伤还能导致骨髓增生异常综合征和非淋巴细胞性白血病。特点:有明确的放化疗史,血细胞减少与治疗周期相关(通常在疗程结束后1-2周降至最低点)。但需警惕迟发性骨髓抑制或长期、多次治疗导致的累积性骨髓损伤,后者恢复缓慢,可能不可逆。

3、再生障碍性贫血(AA):是一种可能由不同病因和机制引起的骨髓造血功能衰竭症。主要表现为骨髓造血功能低下、全血细胞减少及所致的贫血、出血、感染综合征。诊断标准:全血细胞减少,网织红百分数<0.01,淋巴细胞比例增高;一般无肝脾大;骨髓多部位增生减低或重度减低,造血细胞减少,非造血细胞比例增高,骨髓小粒空虚。

4、骨髓异常增生综合征(MDS):是一组起源于造血干细胞,以血细胞病态造血,高风险向急性髓系白血病(AML)转化为特征的异质性髓系肿瘤性疾病。血象和骨髓象显示持续一系或多系血细胞减少;骨髓增生度多在活跃以上,少数呈增生减低。40%~70%的MDS有克隆性染色体核型异常。
 
5、白血病:是一类造血干祖细胞的恶性克隆性疾病,白血病细胞可停滞在细胞发育的不同阶段。在骨髓和其他造血组织中,白血病细胞大量增生积累,使正常造血受抑制并浸润至其他器官和组织。通过骨髓活检、穿刺、外周血涂片可明确诊断。
 
6、系统性红斑狼疮(SLE):好发于青年女性,常伴发热、面部蝶形红斑、口腔溃疡、脱发、关节肿痛,血尿、蛋白尿。是一种以致病性自身抗体和免疫复合物形成并介导器官、组织损伤的自身免疫性疾病,临床上存在多器官受累表现,血清中存在以抗核抗体为代表的多种自身抗体。通过检测自身抗体(抗核抗体谱、抗磷脂抗体和抗组织细胞抗体)、补体可协助诊断。其中,活动性SLE中血红蛋白下降、白细胞和(或)血小板减少常见。
 
为明确诊断,于2025-07-22行(右髂骨髂前上棘)骨髓穿刺+活检术。
 
病理
 
骨活检:少量骨髓组织,造血细胞占45%,可见各阶段成熟造血细胞,巨核细胞数量明显减少,未见癌。
 
骨髓细胞学检查:有核细胞增生活跃(粒系57%),红系(34%);粒系增生,中性分叶核比例增高(28.5%),余各阶段细胞比例及形态大致正常。红系增生,晚幼红比例增高(20%),余各阶段细胞比例及形态大致正常。淋巴细胞、单核细胞、浆细胞未见明显异常。骨髓成熟巨核细胞减少。骨髓小粒(+),脂肪滴(+),未见特殊细胞。
 
外周血:白细胞无明显增减,未见幼稚白细胞及有核红细胞。成熟红细胞和血小板同骨髓片所见一致。
 
 
其他相关实验室检查
 
叶酸水平降低(1.6 ng/mL),铁蛋白显著升高(>430 ng/mL),EPO水平>750 mIU/mL;免疫球蛋白G、M轻度降低,补体C3轻度升高;自身免疫抗体谱、凝血功能基本正常。
 
结合检查结果,排除肿瘤浸润及血液系统疾病,继续予以升白细胞、升血小板等对症治疗,并动态监测血常规。患者骨髓抑制仍持续处于严重状态,关键监测指标如下。
 
 
各专科会诊意见
 
面对常规升白细胞、升血小板治疗两周仍无应答的难题,于2025-07-29组织了全院大会诊。

血液科:结合骨髓细胞学检查及活检结果,目前排除血液系统疾病所致骨髓抑制状态。患者虽伴多发骨转移,但骨髓活检病理未见肿瘤浸润,基本排除肿瘤骨髓浸润所致全血细胞减少。因患者为晚期乳腺癌,发生骨髓抑制前有明确放化疗治疗史,故综合分析认为,放化疗导致持续骨髓造血功能抑制,引发顽固性全血细胞减少。考虑目前已使用近2周粒细胞集落刺激因子(短效制剂),疗效欠佳,建议改为长效制剂(聚乙二醇化粒细胞集落刺激因子)。升血小板治疗方面:建议采用罗普司亭(250μg,每周一次)联合海曲泊帕(7.5mg,每日一次)的双药联合方案,以提高对顽固性血小板减少症的疗效。当血小板计数低于10×10?/L或伴有活动性出血时,应及时输注血小板支持治疗。若治疗2-4周后血象无改善,建议复查骨髓涂片及活检。
 
风湿免疫科:综合评估检验及检查结果后后,认为无明确风湿免疫病证据,目前三系减少与自身免疫系统及风湿免疫无关,支持放化疗后骨髓抑制的诊断。
 
乳腺科:当前核心策略在于积极挽救骨髓造血功能,减轻治疗累积毒性。待患者血象获得稳定缓解后,将重新评估并恢复系统性抗肿瘤治疗。
 
血象恢复,转危为安
 
经(聚乙二醇化粒细胞集落刺激因子6mg ih)+罗普司亭(250μg qw,ih)+海曲泊帕(7.5mg po qd)治疗,期间复查血常规,患者血小板计数在约2周内由20×10?/L回升至110×10?/L以上,白细胞计数及血红蛋白也呈缓慢回升趋势(见下方血象变化曲线图)。
 
至2025年8月中旬,血常规主要指标恢复至安全或正常范围。
 
 
抗肿瘤治疗方案调整
 
鉴于患者既往放化疗后曾出现危及生命的重度骨髓抑制,经长达4周的升白及升血小板支持治疗,血象方才勉强恢复。为了最大程度保障患者安全,并结合其个人意愿,暂停静脉化疗,使用骨髓毒性较低的口服化疗联合抗HER2靶向治疗方案。2025-08-22起,一线维持方案:卡培他滨(1g bid节拍治疗)+曲妥珠单抗(6mg/kg q3w)+吡咯替尼(320mg qd),戈舍瑞林(3.6mg q4w)治疗。期间使用甲钴胺预防卡培他滨引起的手足综合征,患者手足皮肤正常、无诉疼痛。
 
目前“卡培他滨+曲妥珠单抗+吡咯替尼”方案已维持治疗6个月,仍在持续治疗中。定期影像学复查显示全身骨病灶稳定,颅内及颅外无肿瘤新发进展征象。患者一般情况好,血常规基本维持正常。
 
 
治疗小结
 
 
该病例充分彰显了多学科协作在疑难危重乳腺癌诊疗中的核心价值,通过各专科的优势互补、精准研判与个体化施治,为年轻高危乳腺癌患者突破治疗危机、获得长期生存与良好生活质量筑牢了诊疗根基,也为三阳性乳腺癌术后快速转移合并严重治疗相关毒性的临床处理提供了宝贵的实践参考。
 
点评专家简介
 
龚畅教授
中山大学孙逸仙纪念医院逸仙乳腺肿瘤医院
乳腺外科三级教授/二级主任医师外科学博士博士生导师
乳腺诊断专科主任乳腺肿瘤中心第二职工党支部书记
中国抗癌协会乳腺癌整合防筛专委会常委
中国抗癌协会乳腺癌专委会委员
中国女医师协会乳腺专委会常委
中国女医师协会临床肿瘤专委会委员
中国医师协会医学遗传医师分会肿瘤医学学组组员
广东省医学会乳腺病学分会副主委
广东省医师协会乳腺专科医师分会副主委
广东省抗癌协会癌症筛查与早诊早治专委会副主委
广东省精准医学应用分会癌症早筛早诊分会副主委
广东省临床医学学会乳腺癌专委会副主委
主持科技部国家重点研发计划(课题组长)1项、国家科技创新2030(课题组长)1项,国家自然科学基金7项,省部级基金7项。CSCO基金2项。入选科技部、教育部、广东省杰青等人才项目5项。主编人卫出版社专著《组织标记在乳腺疾病精准诊疗中的应用》。研究成果获广东省科技进步二等奖(第一完成人),获专利12项。以通讯(含共同)在BMJ,Cell Reports Medicine,Med,Molecular Cancer,Advanced Science,等发表论文35篇,总引用2771次,高被引论文4篇。
 
曾银朵教授
博士,副主任医师,硕士生导师
中山大学孙逸仙纪念医院乳腺内科
广东省胸部肿瘤防治研究会乳腺肿瘤内科专业委员会主任委员
广东省抗癌协会整合肿瘤心脏病学专业委员会副主任委员
广东省药学会第二届肿瘤全程管理专家委员会副主任委员
广东省卫生信息网络协会智慧肿瘤研究分会副会长
广东省临床医学学会泛家族遗传性肿瘤防控专业委员会常委
广东省胸部肿瘤防治研究会胸部肿瘤脑转移专业委员会委员
广东省抗癌协会乳腺癌专业委员会委员
中国抗癌协会整合肿瘤心脏病学分会委员
主持国家自然科学基金青年基金1项
主持中山大学5010培育项目1项
主持逸仙临床研究培育项目1项
参加编写《临床肿瘤内科学》和《乳腺癌保乳治疗》
英国卡迪夫大学访问学者
参加多项国际及国内多中心临床研究
 
病例分享专家简介
 
罗思敏
中山大学孙逸仙纪念医院
逸仙乳腺肿瘤中心主治医师
广东省胸部肿瘤防治研究会乳腺肿瘤内科专业委员会委员
广东省医疗行业协会乳腺内科管理分会委员
广东省抗癌协会整合肿瘤心脏病学专业委员会委员
CSCO晚期乳腺癌临床诊疗大赛“最佳问答奖”、华南大区一等奖
参与多项国内外乳腺癌新型药物临床研究项目,对乳腺癌靶免药物的不良反应管理有丰富经验
发表多篇SCI论文

本内容仅供医学专业人士参考


乳腺癌

分享到: 更多