当前位置:肿瘤瞭望>资讯>正文

例精图治︱乘胜追击,曲妥珠单抗跨线治疗一例HER2阳性转移性胃癌患者

作者:肿瘤瞭望   日期:2019/6/17 11:54:07  浏览量:18646

肿瘤瞭望版权所有,谢绝任何形式转载,侵犯版权者必予法律追究。

编者按:对于曲妥珠单抗的跨线治疗,目前尚缺乏成熟的临床数据。下文中,浙江省肿瘤医院腹部肿瘤内科徐琦主治医师报告了一例HER2阳性转移性胃癌患者,在化疗联合曲妥珠单抗一线治疗发生进展后,曲妥珠单抗跨线治疗至二线,患者再次获得SD。上海同济大学附属东方医院李进教授对此病例做点评。

病例报告


患者叶XX,女,32岁

主诉:于2017年5月14日因“左侧腰部酸痛9天”就诊当地医院。

检查:B超示:盆腔占位,盆腔积液

CT示:盆腔肿瘤伴腹主动脉旁、腹膜后淋巴结、胸腰椎及骨盆转移,盆腔积液。

遂来我院妇科就诊。


查体:PS 2分,BSA 1.46,生命体征平稳,双锁骨上未及明显肿大淋巴结,下腹部可触及约10*10cm大小包块,质硬,无法推动,移动性浊音阳性,妇检:外阴无殊,阴道光,宫颈光,子宫前方可及肿块达脐下2指,活动受限,直肠窝未及结节。肛检未及肿块,指套无染血。

既往史、家族史无殊。


实验室检查:

血常规WBC 3.6×109,Hb12.3g/dl,PLT260×109。

生化无明显异常。

肿瘤标志物:CEA 59.25ng/ml,CA199 130.94U/ml, CA125 183.8U/ml。

粪便及尿常规正常。

心电图、心超无异常。


胃镜检查:

胃镜下见:胃体上段小弯侧见一溃疡状新生物,中央凹陷,上覆污苔,周缘黏膜饱满感,予活检。

病理示:(胃体)腺癌(低分化)。

IHC:HER2 (3+)。


影像学检查:

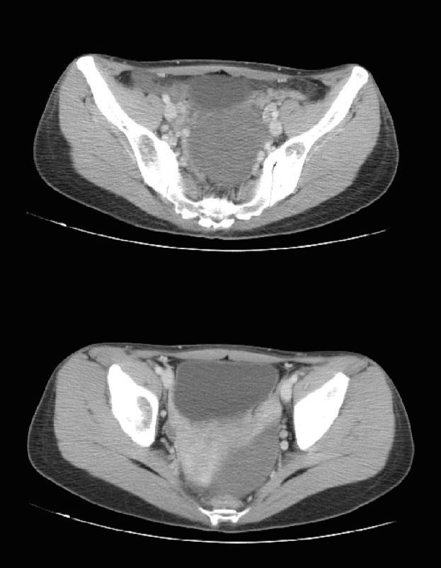
上腹部盆腔CT示: 1、胃体胃壁稍增厚,胃周可见小淋巴结,请结合临床。 2、盆腔巨大占位灶,转移瘤考虑。 3、腹盆腔少量积液。 4、胸腰椎及骨盆多发骨转移考虑。


图1  2017年5月26号CT影像


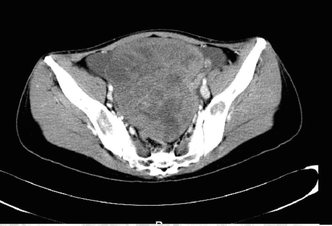
PET-CT:

1、右侧盆腔巨大肿块,FDG代谢增高,右侧附件恶性病变考虑,请结合临床;2、所见全身骨多发骨质密度异常,部分可见骨质破坏,FDG代谢增高,考虑多发骨转移;3、胃小弯侧胃壁局部结节样增厚,FDG代谢轻度增高,结合病史,胃癌考虑;4、腹主动脉旁淋巴结,FDG代谢轻度增高,建议复查;腹盆腔积液;5、右侧扁桃体区钙化灶。6、纵隔多发淋巴结,FDG代谢略增高,炎性淋巴结考虑。7、左侧腹股沟软组织密度影,FDG代谢未见明显增高,腹股沟疝?。


图2  PET-CT影像


诊断及分期


诊断:胃癌伴盆腔、骨转移

分期:cT3NxM1 Ⅳ期

IHC:HER2(3+)


治疗

于2017-5-24、2017-6-14行2周期XELOX联合赫赛汀治疗:奥沙利铂180mg d1(127mg/m2),希罗达早1.0g晚1.5g d1~14,赫赛汀264mg d1(6mg/kg q3w,首次8mg/kg)。


以及唑来膦酸q21d治疗。

1周期后症状明显改善,2周期后疗效评估PR。

肿瘤标志物:CEA 1.05ng/ml,CA199 9.4U/ml, CA125 35.1U/ml。

副反应:血小板1度下降。   

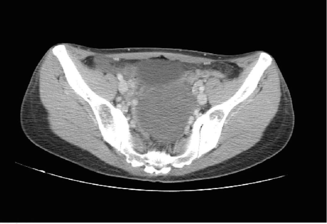
治疗前


治疗后

                                

继续治疗

2017-7-5行第3周期XELOX联合赫赛汀治疗,剂量同前。

副反应:白细胞1度下降,血小板3度下降。

经IL-11升血小板治疗后恢复,双下肢水肿明显,延迟第4周期治疗。


继续治疗

2017-7-31行第4周期XELOX联合赫赛汀治疗,减量20%,具体用药:奥沙利铂140mg d1 (100mg/m2),希罗达早1.0g 晚1.0g d1~14,赫赛汀264mg d1(6mg/kg q3w)。


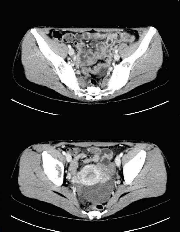
2周期治疗后


4周期治疗后

             

继续治疗

2017-8-22行第5周期XELOX联合赫赛汀治疗,剂量同第4周期;

同时继续予特比澳预防性用药:15000UH d-1、d2。

副反应:白细胞2度下降,血小板2度下降。

特比澳15000U H qd治疗6天,恢复至1度。

2017-9-19行延迟的第6周期XELOX联合赫赛汀治疗,剂量同第4周期。

同时继续予特比澳预防性用药:15000U H d-1、d2、 d4。

血小板1度下降。


继续治疗

2017-10-10、2017-11-01行第7、8周期XELOX联合赫赛汀治疗,剂量同第4周期。

同时继续予特比澳预防性用药:15000U H d-1、d2、d4。

副反应:白细胞2度下降,血小板1度下降,神经毒性1度。

7周期后复查疗效评估持续PR。


维持治疗

于2017-11-23~2018-1-6行3周期希罗达+赫赛汀维持治疗。

毒副反应:血小板下降1度,神经毒性1度。


二线治疗

肿瘤标志物逐渐升高。

2018-2-2复查CT疗效评估进展。

2018-2-2~2018-7-19行二线9周期紫杉醇+赫赛汀方案化疗:紫杉醇120mg(90mg/m2) d1、8,赫赛汀264mg d1(6mg/kg)。

毒副反应:白细胞下降3度,血小板下降0度。

疗效评估:肿瘤标志物下降,影像评估SD。


二线治疗

2018-8-9~2019-3-7行二线9周期紫杉醇方案化疗:紫杉醇180mg(120mg/m2) d1、赫赛汀264mg d1(6mg/kg)。

毒副反应:白细胞下降2度,血小板下降0度。

疗效评估:肿瘤标志物下降,影像评估SD。


作者简介

徐琦,女,硕士

浙江省肿瘤医院腹部肿瘤内科主治医师

专攻方向为胃、肠等消化系统肿瘤的内科诊治

浙江省医学会肿瘤营养与治疗学分会青委会副主委

浙江省数理医学学会胃癌专业委员会秘书

中国肿瘤防治联盟浙江省联盟胆道肿瘤专业委员会委员

浙江省抗癌协会抗癌药物专业委员会临床肿瘤药学学组成员

作为团队成员荣获2017全国大肠癌MDT比赛十强、2017全国胃癌MDT比赛亚军


专家点评


1. 这是一个一线化疗联合曲妥珠单抗治疗HER2阳性转移性胃癌的典型病例,一线获得了较好的效果,在获得PR后如果能够进行多学科综合治疗团队的讨论,对这样的化疗敏感的患者是否可以行姑息性手术治疗。如果能够完整切除原发和转移病灶,这样的患者生存期还能够得到进一步延长。


2. 对于曲妥珠单抗的跨线治疗,目前没有成熟的临床数据。考虑到一线治疗中敏感的肿瘤细胞已经杀灭,二线跨线获益比一线获益要低。这个患者较长的二线无进展生存是化疗的效果,还是联合治疗的效果,尚无法确定。如果将来有真实世界的数据,可以进一步进行分析。


3. 虽然我们不提倡曲妥珠的跨线治疗,但考虑到曲妥珠单抗的毒性较低,不会给病人带来不可预期的毒性,因此,如果患者强烈要求,而且不违反医保规定,可以在伦理批准之后开展临床研究。


4. 该患者的治疗是比较规范的,一二线治疗使患者达到了二年的生存,证明规范治疗的重要性。


点评专家

李进

主任医师、教授、博士生导师。上海同济大学附属东方医院肿瘤医学部主任。中国临床肿瘤学会(CSCO)理事长、亚洲肿瘤联盟(FACO)主席、亚洲肿瘤分子靶向治疗继续教育委员会(MTTC)常委、上海市抗癌协会胃肠肿瘤专业委员会副主任委员、中国临床肿瘤学会药物安全专家委员会主任委员。


2000年赴美国耶鲁大学从事肿瘤基因和生物治疗的博士后研究工作,2003年回国任职于上海肿瘤医院肿瘤内科主任。2016年7月调任上海同济大学附属东方医院肿瘤医学部主任。目前的主要研究领域为恶性肿瘤(胃肠肿瘤)的内科治疗,特别擅长分子靶向与免疫治疗。先后在《JAMA》、《Journal of Clinical Oncology》、《Lancet Oncology》、《PNAS》、《Clinical Cancer Research》和《Cancer Gene Therapy》《Cancer Biologic Therapy》等国际和国内著名学术期刊上发表论文近八十余篇。SCI影响分值最高47.61分。


十年来,开展临床研究100余项,其中牵头国际国内多中心临床研究18项,参加国际多中心临床研究30余项。最为突出的是带领中国临床肿瘤团队完成了国际上第一个治疗胃癌的小分子靶向药物的I-III期临床研究(已经获得CFDA的新药批准),并代表中国的团队出席ASCO大会并做大会主题发言。这项研究被评为国际上50年来第一个中国学者入选的ASCO优秀论文。


曾二次获得国家自然科学基金资助,一项国家科技部慢性重大疾病防治项目,一项国家“十一五”重大项目子课题和一项“十二五”国家重大攻关项目的资助。总研究经费:超过3000万。曾获得五项部委级三等奖,一项教育部科技进步二等奖、一项国家科技进步奖二等奖。

 

本内容仅供医学专业人士参考


胃癌

分享到: 更多