当前位置:肿瘤瞭望>百家>病例>正文

优例“新”解丨T-DXd二线治疗HER2阳性晚期患者:快速缩瘤,脑转消失,长期生存获益

作者:肿瘤瞭望   日期:2026/1/14 14:34:06  浏览量:31

肿瘤瞭望版权所有,谢绝任何形式转载,侵犯版权者必予法律追究。

 
病例介绍
 
宫莹医生:
 
患者女,70岁,2021年10月来院就诊。
 
主诉:2006年10月左侧乳腺癌改良根治术,2021年10月复发来诊。
 
现病史:
 
2006年10月行左侧乳腺癌改良根治手术。
 
术后病理:左乳腺浸润性小叶癌,II级,肿物直径1.5cm,左侧腋窝淋巴结转移(2/18)。
 
免疫组化:ER(-),PR(3+,70%),HER2(0),ki-67(30%+)。
 
术后辅助化疗:AT(紫杉醇+表柔比星)方案6周期,放疗25次,口服他莫昔芬8个月后自行停药。
 
既往史、个人史、家族史:2015年诊断白癜风,余无特殊。
 
相关检查:
 
2021年10月
 
影像检查:双肺多发转移瘤,较大者约1.2cm;肝内多发占位,较大者约2.4cm,穿刺病理示移性癌;未见脑实质及骨转移。
 
免疫组化:ER(强+80%),PR(-),HER2(3+),Ki-67(+45%)。
 
诊断:左乳浸润性癌改良根治术后复发pT1N1M0 IIA期→M1 IV期;原发灶ER(-)PR(+)HER2(-);肝转移Luminal B型HER2阳性;肺转移。
 
治疗经过:
 
2021年10月
 
一线治疗:曲妥珠单抗+帕妥珠单抗+白蛋白紫杉醇8周期。肺、肝转移灶部分缓解(PR),中性粒细胞减少1级,周围神经炎1级。
 
一线治疗2周期肝、肺转移灶影像变化
 
2022年5月~2024年2月
 
维持治疗:曲妥珠单抗+帕妥珠单抗+来曲唑。肺、肝转移灶PR。
 
一线+维持PFS 28个月。
 
2024年2月
 
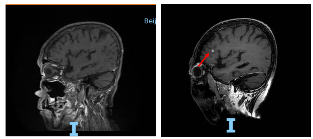
随访检查:影像学示胸5右侧附件新见异常信号,考虑转移;肝转移瘤较前增大,考虑进展;头部核磁显示脑内新见多发异常强化灶,较大者约5mm,考虑转移瘤。
 
头部核磁显示脑内新见多发异常强化灶
 
2024年2月~2025年10月
 
二线治疗:德曲妥珠单抗(T-DXd)30+周期,并予地舒单抗。2周期后肝转移灶PR,肺、骨转移灶稳定,脑转移瘤减少、缩小(5x4mm→4x3mm);6、8、12周期治疗后肝维持PR,肺、骨转移灶同前,脑转移瘤显示不清。
 
不良反应:轻度恶心,血小板减少3度。
 
二线PFS:20个月
 
2周期随访显示脑部病灶快速退缩
 
持续随访的脑转移灶疗效影像变化
 
2025年10月~今
 
三线治疗:伊尼妥单抗+吡咯替尼+长春瑞滨。
 
 
该患者在复发后原发灶与转移灶呈现异质性,一线采用双靶联合内分泌治疗,取得较好控制效果。一线及维持治疗28个月时出现脑转移,无脑转移症状,病灶较散在,故考虑全身治疗。基于DESTINY-Breast03、DESTINY-Breast12研究等前沿进展,予患者T-DXd二线治疗,不仅实现脑内转移灶快速缩瘤,也在12周期时缩小至显示不清状态,取得了长达20个月的PFS,可见新型HER2 ADC药物T-DXd有望为HER2阳性脑转移患者带来更深度、持久的生存获益。如今患者再次进展,予以大小双靶联合化疗方案,期待能够继续为患者带来稳定的疗效表现
 
专家点评
 
 
脑转移是HER2阳性乳腺癌常见的复发转移灶,约有30%-50%的患者会出现相关进展[1,2]。HER2阳性乳腺癌脑转移过去多以放疗为主,疗效不够理想;曲妥珠单抗等大分子单抗难以透过血脑屏障,无法发挥有效作用;抗HER2 TKI是常见系统治疗策略,mPFS为5.5个月~10.8个月,仍有提升空间;在生存期方面,研究显示患者自确诊中枢神经转移后患者的OS仅为1.51年,亟待开发全新治疗策略,延长患者生存[3,4]。基于DESTINY-Breast03研究,T-DXd在既往治疗≤2线患者中mPFS为37.3个月,确立了T-DXd二线治疗HER2阳性乳腺癌的标准治地位,是国内外指南一致推荐的首选方案[5]
 
同时,对于伴脑转移的患者而言,DESTINY-Breast03研究脑转移人群分析显示,基线脑转移患者使用T-DXd较T-DM1的mPFS显著提升,为15.0个月vs 3.0个月(HR 0.25,95%CI 0.13-0.25);T-DXd治疗后的颅内完全缓解(CR)率达到28.6%,远优于T-DM1组的2.9%,为患者带来了显著获益[6]
 
DESTINY-Breast03研究基线脑转移患者PFS
 
2023年ESMO年会披露的DESTINY-Breast01、-02、-03研究脑转移人群汇总分析显示,无论是稳定性或活动性脑转移,T-DXd治疗后均可获得良好的颅内缓解。T-DXd在稳定性脑转移的ORR为45.2%,CR率为16.3%;在活动性脑转移的ORR为45.5%,CR率为15.9%[7]。
 
DESTINY-Breast01、-02、-03研究颅内ORR
 
大样本IIIb/IV期DESTINY-Breast12研究进一步证实了T-DXd在脑转移患者的疗效,对于伴脑转移的HER2阳性晚期乳腺癌,12个月PFS率为61.6%,12个月CNS PFS率为58.9%,确认的CNS ORR为71.7%。亚组分析显示,无论是稳定性脑转移还是活动性脑转移,T-DXd均有良好表现:稳定性脑转移患者12个月CNS PFS率为57.8%,确认的CNS ORR为79.2%;活动性脑转移12个月CNS PFS率为60.1%,确认的CNS ORR为62.3%[8]。
 
DESTINY-Breast12研究CNS PFS表现
 
基于此,在该患者脑转移后选择T-DXd进行治疗。患者病情取得迅速缓解,在T-DXd治疗第2周期颅内病灶即开始逐渐缩小,第12周期时患者颅内病灶已显示不清,最近一次疗效评估显示颅内病灶均消失,且病情稳定达20个月,带来了长期生存获益。
 
该患者为高龄患者,除脑转移外,还有肝、肺、骨等多发转移,且存在原发灶与转移灶病理异质性,具有多种高肿瘤负荷因素。在此背景下,患者在一线曲帕双靶治疗进展后,采用T-DXd不仅取得了病情的迅速缓解,PFS甚至长达20个月,使患者长期生存得以实现。因此,在一系列循证医学证据及临床实践病例的支持下,T-DXd是HER2阳性晚期乳腺癌的二线治疗优选,即使存在高肿瘤负荷,也能够为患者带来快速、深度缓解并实现长生存获益。

考虑到患者全生命周期管理,在患者二线使用T-DXd治疗进展后,仍有抗HER2 TKI药物(例如吡咯替尼、图卡替尼等)和其他靶点ADC药物(TROP-2 ADC等)可考虑应用。该患者的疾病旅程仍在继续,在T-DXd的治疗下极大延长了患者的生存,为患者争取了更多可能的治疗机会。相信随着精准诊断的持续深入和更多新药研发的拓展,HER2阳性乳腺癌患者将迎来更优化的整体治疗布局。
 
梁旭教授
北京大学肿瘤医院乳腺内科
医学博士,主任医师
中国女医师协会乳腺专业委员会常委
北京医学会乳腺疾病学分会委员
北京乳腺病防治学会内科专业委员会委员
北京乳腺病防治学会肿瘤免疫治疗专业委员会常委
 
宫莹医生
北京大学肿瘤医院乳腺肿瘤内科主治医师
医学博士,毕业于北京大学医学部
第一作者发表SCI论文4篇
 
参考文献:
 
[1]Harbeck N,Penault-Llorca F,Cortes J,et al.Breast cancer.Nat Rev Dis Primers.2019;5(1):66.Published 2019 Sep 23.doi:10.1038/s41572-019-0111-2
 
[2]Lin NU,Amiri-Kordestani L,Palmieri D,Liewehr DJ,Steeg PS.CNS metastases in breast cancer:old challenge,new frontiers.Clin Cancer Res.2013;19(23):6404-6418.doi:10.1158/1078-0432.CCR-13-0790
 
[3]Zimmer AS,Van Swearingen AED,Anders CK.HER2-positive breast cancer brain metastasis:A new and exciting landscape.Cancer Rep(Hoboken).2022;5(4):e1274.doi:10.1002/cnr2.1274
 
[4]Yan,Min et al.Pyrotinib plus capecitabine for patients with HER2-positive metastatic breast cancer and brain metastases:3-year follow-up results from the phase 2 PERMEATE trial.2023 ASCO Abstract#1048
 
[5]Hurvitz SA,Hegg R,Chung WP,et al.Trastuzumab deruxtecan versus trastuzumab emtansine in patients with HER2-positive metastatic breast cancer:updated results from DESTINY-Breast03,a randomised,open-label,phase 3 trial.Lancet.2023;401(10371):105-117.doi:10.1016/S0140-6736(22)02420-5
 
[6]Hurvitz SA,Kim SB,Chung WP,et al.Trastuzumab deruxtecan versus trastuzumab emtansine in HER2-positive metastatic breast cancer patients with brain metastases from the randomized DESTINY-Breast03 trial.ESMO Open.2024;9(5):102924.doi:10.1016/j.esmoop.2024.102924
 
[7]Hurvitz S.A,Modi S,Li W,et al.A pooled analysis of tRAStuzumab deruxtecan(T-DXd)in patients(pts)with HER2-positive(HER2+)metastatic breast cancer(mBC)with brain metastases(BMs)from DESTINYBreast(DB)-01,-02,and-03.2023 ESMO 377O.
 
[8]Harbeck N,Ciruelos E,Jerusalem G,et al.Trastuzumab deruxtecan in HER2-positive advanced breast cancer with or without brain metastases:a phase 3b/4 trial.Nat Med.2024;30(12):3717-3727.doi:10.1038/s41591-024-03261-7

本内容仅供医学专业人士参考


乳腺癌

分享到: 更多