当前位置:肿瘤瞭望>百家>病例>正文

FRUSICA-2病例启示第4期丨呋喹替尼联合信迪利单抗二线治疗晚期肾癌:irAE免疫停药后呋喹替尼单药维持PR约2年,二线PFS>30个月

作者:肿瘤瞭望   日期:2026/4/23 18:22:18  浏览量:43

肿瘤瞭望版权所有,谢绝任何形式转载,侵犯版权者必予法律追究。

本期分享的FRUSICA-2研究病例,伴有高血压、糖尿病、慢性肾脏疾病等多种基础病,在应用呋喹替尼联合信迪利单抗期间,虽早期出现了3级免疫性胰腺炎合并糖尿病加重,但经过暂停研究药物和积极对症处理得以控制,至今#已取得30.4个月的无进展生存期(PFS),仍处于部分缓解(PR)状态,其中呋喹替尼单药维持PR状态约2年,超过该病例一线酪氨酸激酶抑制剂(TKI)单药的PFS(12.5个月)。此病例为合并基础疾病患者应用靶免治疗及免疫相关不良反应(irAE)的管理提供了临床实践参考。

编者按:既往靶向联合免疫作为肾细胞癌(RCC)二线治疗方案,缺乏高级别、大样本III期确证性研究证据。2025年欧洲临床肿瘤学会(ESMO)年会公布的FRUSICA-2研究为国内首项靶向联合免疫二线治疗RCC的III期确证性研究,该研究提示呋喹替尼联合信迪利单抗或可为晚期肾癌二线治疗带来生存获益。
 
本期分享的FRUSICA-2研究病例,伴有高血压、糖尿病、慢性肾脏疾病等多种基础病,在应用呋喹替尼联合信迪利单抗期间,虽早期出现了3级免疫性胰腺炎合并糖尿病加重,但经过暂停研究药物和积极对症处理得以控制,至今#已取得30.4个月的无进展生存期(PFS),仍处于部分缓解(PR)状态,其中呋喹替尼单药维持PR状态约2年,超过该病例一线酪氨酸激酶抑制剂(TKI)单药的PFS(12.5个月)。此病例为合并基础疾病患者应用靶免治疗及免疫相关不良反应(irAE)的管理提供了临床实践参考。
 
(注意:以下病例简评仅系相关主治医生在执业过程中的病情回顾与评述,供医生读者科学交流和参考。个体病例通常具有差异性,具体治疗方案及用药应当结合个体情况做出,并严格遵循医嘱。)
 
病例介绍
 
基本情况:男性患者,65岁。
 
主诉:右肾癌术后7年转移后靶向治疗1年余,发现疾病进展2月余。
 
个人史:吸烟史20余年,20支/日,2023年已戒烟;有饮酒史至今*。

现病史:
 
2016年8月:外院CT提示右肾癌。
 
2016年9月:外院行右肾根治性切除。术后病理提示:右肾透明细胞癌,局部病灶为乳头状透明细胞癌,ISUP分级为2级。肿块大小为3*3*3cm,初诊分期T1N0M0,I期,G2级。
 
免疫组化:CD10(+),Vimentin(+),PAX-8(+),CA9(+),TFE3(-),Ki-67(局灶10%),KSP(+),CK7(局灶+)。
 
2022年2月:外院复查考虑左肾转移。
 
2022年4月:外院行PET-CT提示左肾、左下肺、左肾上腺转移,双侧股骨近端、T11骨转移可能。
 
2022年5月2日-2023年7月21日:培唑帕尼一线治疗。
 
2023年5月16日:外院MRI显示左肾转移、L1椎体、右侧竖脊肌多处异常强化,转移瘤。
 
2023年7月17日:就诊我院泌尿外科。
 
其他病史及合并用药:
 
高血压1级:2010年至今*,服用厄贝沙坦。
 
慢性肾脏疾病2级:2023年5月至今*,服用金水宝片、尿毒清、包醛氧淀粉胶囊、羟苯磺酸钙分散片对症治疗,低蛋白饮食。
 
糖尿病1级:2016年至今*,患者2023年5月起自觉血糖控制良好,自行停用降糖药。
 
其他:肺气肿、药物性肠炎、胃黏膜慢性炎症、轻度慢性非萎缩性胃炎、鼻窦炎、肝囊肿、碱性磷酸酶增高、红细胞计数降低。均为1级,暂无需药物治疗。
 
入院检查及诊断:
 
2023年7月18日:CT提示左L4骨转移灶,疾病进展(PD)。经沟通考虑入组临床研究,行筛选期检查。
 
2023年8月15日:平扫+增强CT提示,左肾多发结节、左侧竖脊肌及左侧肾上腺结节较前增大,考虑转移瘤;T11椎体骨转移瘤同前;L4椎体棘突骨质异常同前;左侧股骨髓腔骨质异常,考虑骨转移瘤可能性大。
 
2023年8月16日:全身骨显像提示,多处肋骨、双侧股骨异常放射性浓集灶,考虑骨转移瘤。
 
当前诊断:
 
透明细胞肾细胞癌,局灶为乳头状透明细胞癌,G2级;
 
TNM分期为TXN0M1,临床分期IV期;
 
远处转移部位:骨、肾上腺、左肾、竖脊肌;
 
IMDC低危,ECOG 1分,卡氏评分80分。
 
合并高血压1级、糖尿病1级、慢性肾脏疾病2级等多项基础病
 
治疗经过:
 
患者于2023年8月11日签署知情同意书,入组“评价呋喹替尼联合信迪利单抗对比阿昔替尼或依维莫司单药二线治疗局部晚期或转移性肾细胞癌的疗效和安全性的多中心、随机、开放、阳性对照的Ⅱ/Ⅲ期临床研究”。
 
2023年8月30日:开始接受呋喹替尼(5mg,po,qd,D1-14,q3w)联合信迪利单抗(200mg,ivgtt,D1,q3w)二线治疗。
 
2024年1月3日:治疗4个月后,首次达到PR。
 
2024年3月13日行第10周期信迪利单抗给药。3月29日发生3级胰腺炎,暂停两种研究药物,积极对症处理后4月4日胰腺炎好转至1级。4月18日既往病史糖尿病加重至3级,继续暂停药物和积极降糖处理,2024年4月26日好转至2级。
 
2024年5月9日,决定永久停用信迪利单抗,下调一个剂量水平(4mg,po,qd,D1-14,q3w)恢复呋喹替尼治疗。自此,截至2026年3月30日,呋喹替尼单药治疗约2年且仍在维持中。2026年3月12日行最近一次疗效评估仍处于PR,PFS已达30.4个月。
 
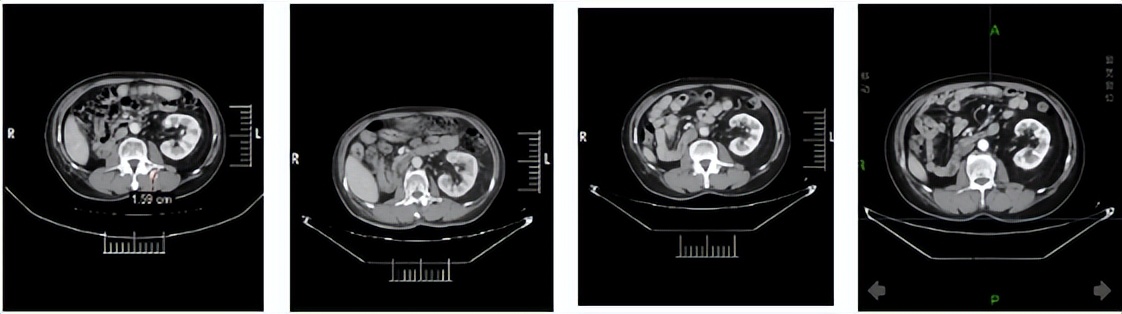
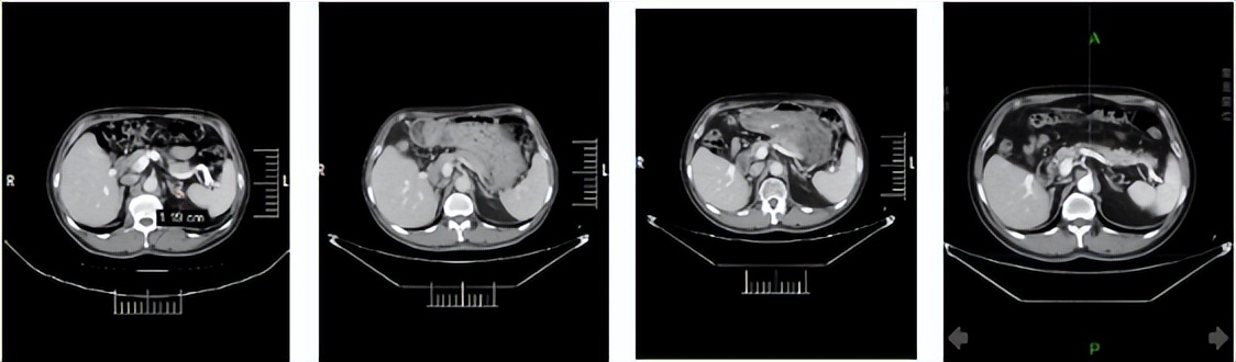
靶病灶T01:左肾下极

靶病灶T02:左肾上极

靶病灶T03:左侧肾上腺

靶病灶T04:左侧竖脊肌

不良事件情况:
 
尽管患者合并多项基础疾病,但治疗期间发生的不良事件(TEAE)绝大部分为1-2级,且较为常见,如皮疹、甲状腺功能异常、白细胞计数降低等。所发生的3级TEAE仅免疫性胰腺炎及合并的基础疾病糖尿病加重,暂停药物和积极对症处理一周内得以控制,最终均已痊愈,未见非预期不良事件。
 
免疫性胰腺炎管理:
 
2024年3月29日-2024年4月4日:外院和本院检查淀粉酶、C-反应蛋白显著升高、合并影像学检查(MRI+增强CT)提示胰腺炎,暂停2种研究药物,予头孢他啶2g Q8h、生长抑素3mg Q12h、间苯三酚80 mg QD、雷尼替丁50 mg BID,好转到1级。
 
2024年4月10日:复查,血淀粉酶由3月29日2853 U/L下降至292.1 U/L,胰腺炎1级。倾向于考虑为免疫性胰腺炎,4月10日起口服泼尼松,3片一次,一天两次,服用一周后,每周减量一片逐渐减量,密切关注血清淀粉酶等相关指标。
 
2024年5月6日:血淀粉酶135U/L,影像学检查较前改善。
 
2024年5月9日:恢复呋喹替尼用药,下调一个剂量至4mg,永久停用信迪利单抗。
 
注:
 
#至今,即至患者最近一次肿瘤疗效评估时间,2026年3月12日。
 
*至今,即至2023年8月入组FRUSICA-2研究时的筛选期检查阶段。
 
病例小结
 
本例患者基础状况复杂,具有长期吸烟、饮酒史,合并多年高血压和糖尿病、慢性肾脏疾病等多种慢性基础病,且需长期持续治疗。患者罹患RCC病程长达约10年,于2016年8月首次发现,行右肾根治性切除。2022年4月发现左肾、左下肺、左肾上腺转移,有骨转移可能,遂行培唑帕尼一线治疗,1年余复发。2023年5月外院MRI提示进展,2023年7月就诊我院。我院诊断为IV期肾透明细胞癌,G2级,骨、肾上腺、左肾、竖脊肌多发转移,IMDC低危。患者于2023年8月入组III期FRUSICA-2临床试验,接受呋喹替尼联合信迪利单抗二线治疗,治疗4个月达到PR。治疗约7个月时因3级irAE胰腺炎及合并的2型糖尿病加重永久停用信迪利单抗,2024年5月好转后恢复呋喹替尼单药治疗,截至2026年3月30日呋喹替尼单药治疗约2年,且二线PFS已达30.4个月,疗效持续PR中。
 
病例提供者,湖南省肿瘤医院泌尿外科曹健
 
 
RCC约占成人恶性肿瘤的3%,近30年来全球发病率持续增长,我国也呈现明显增长趋势。临床中约有1/3的患者初诊即出现转移,接受肾切除的局限期患者约有20%出现复发转移,预后不佳[1]。本例患者即为右肾透明细胞癌行右肾根治性切除术后复发患者,在接受一线培唑帕尼治疗约一年进展,且合并多种基础疾病,面临着二线治疗的选择难题。
 
对于血管内皮生长因子受体酪氨酸激酶抑制剂(VEGFR-TKI)治疗失败的患者,传统的二线标准治疗方案中mTOR(哺乳动物雷帕霉素靶蛋白)抑制剂依维莫司mPFS约为4.0个月[2-3]、VEGFR-TKI单药约6~8个月[3-5]、mTOR抑制剂联合VEGFR-TKI约10.0个月[5]。呋喹替尼作为高选择性VEGFR-TKI,联合免疫二线治疗RCC展开了一项III期随机对照研究(FRUSICA-2)(图1),该研究中盲态独立阅片委员会(BIRC)评估的呋喹替尼联合信迪利单抗方案的mPFS达到22.21个月,较对照组阿昔替尼或依维莫司6.90个月显著延长(HR=0.373,P<0.0001)(图2),客观缓解率(ORR)显著提高(60.5%vs 24.3%,OR 4.622,P<0.0001),联合治疗安全和耐受性良好[6]。FRUSICA-2研究的第2部分进一步验证了呋喹替尼单药二线治疗的疗效和安全性,ORR达35.5%,mPFS达11.07个月[7](图3)。
 
本病例在复杂基础病背景下,采用呋喹替尼联合信迪利单抗二线治疗,截止2026年3月30日,PFS已达30.4个月,超过了现有标准治疗方案4~10个月mPFS[2-5]。虽因irAE致免疫治疗停药,但呋喹替尼单药维持也约2年,超过现有标准治疗方案中VEGFR-TKI单药6~8个月mPFS[3-5],也超过本病例1线VEGFR-TKI的PFS(12.5个月)。
 
图1.FRUSCIA-2 III期研究设计
 
图2.FRUSICA-2研究mPFS和ORR
 
图3.FRUSICA-2研究的呋喹替尼单药队列mPFS
 
 
晚期RCC患者一线TKI治疗失败后,现有二线标准治疗方案的mPFS为4.0~10个月[2-5];既往靶向联合免疫方案尚缺乏高级别循证医学证据,在《中国临床肿瘤学会(CSCO)肾癌诊疗指南2025》中,个别靶向联合免疫方案作为II级或III级推荐[8],mPFS不足12个月[9-10],临床存在未被满足的需求。多项临床前研究提示,呋喹替尼作为高选择性的VEGFR-TKI,联合PD-1/L1抑制剂具有协同增效作用[11]2025ESMO年会公布的呋喹替尼联合信迪利单抗的FRUSICA-2研究是国内首个二线靶向联合免疫对比标准靶向单药的III期确证性研究,该研究方案呋喹替尼联合信迪利单抗二线治疗mPFS达到22.21个月,超过2025 CSCO指南II级或III级推荐的靶免治疗方案的mPFS(不足12个月)[9-10]。从III期FRUSICA-2研究数据来看,呋喹替尼联合信迪利单抗用于晚期RCC二线治疗,取得了ORR和中位PFS具有统计学意义的显著改善,呋喹替尼单药析因队列也达到ORR 35.5%、mPFS 11.07个月,无论是呋喹替尼联合信迪利单抗还是呋喹替尼单药的二线治疗,在目前报道的临床研究数据中表现出良好的疗效和安全性潜力。
 
本病例不仅是FRUSICA-2研究于疗效方面的重要案例,也为安全性管理提供了参考:
 
(1)抗血管生成类药物一般有高血压、蛋白尿等不良反应,而肾癌患者可能存在肾脏切除相关、肾癌相关或不相关的肾脏疾病,此类合并症并非抗血管生成药物的绝对禁忌症。本病例患者合并高血压1级、慢性肾脏基础疾病2级、糖尿病1级等多项基础病,通过合并用药控制的前提下,继续呋喹替尼联合信迪利单抗治疗展现出安全性与耐受性潜力。
 
(2)即使由于irAE导致免疫治疗早期停药,继续呋喹替尼单药治疗或也可维持长久疗效。
 
(3)本病例发生了3级免疫性胰腺炎,导致信迪利单抗永久停用。《CSCO免疫检查点抑制剂相关的毒性管理指南2023》指出,免疫相关胰腺毒性发生率不高,PD-1单抗约0.5%~1.6%。考虑到免疫性胰腺炎的严重性,建议常规监测血、尿淀粉酶,若发生明显升高和怀疑胰腺炎症状,应引起重视,行胰腺影像学检查。若为3~4级胰腺毒性,应永久停用免疫治疗[12]。本病例的应对处理过程也给临床提供参考。
 
(请注意,患者应当在医生指导下进行治疗)
 
参考文献
 
[1]中华医学会泌尿外科学分会肾癌研究协作组,马鑫,张旭.肾癌免疫治疗中国专家共识[J].微创泌尿外科杂志,2025(2).DOI:10.19558/j.cnki.10-1020/r.2025.02.001.
 
[2]Motzer RJ,Escudier B,Oudard S,et al.Lancet.2008 Aug 9;372(9637):449-56.
 
[3]Choueiri TK,Escudier B,Powles T,et al.N Engl J Med.2015 Nov 5;373(19):1814-23.
 
[4]Motzer RJ,Escudier B,Tomczak P,et al.Lancet Oncol.2013 May;14(6):552-62.
 
[5]Sheng X,Ye D,Zhou A,et al.Eur J Cancer.2023 Jan;178:205-215.
 
[6]Dingwei Ye,et al.ESMO 2025,2592MO.
 
[7]Dingwei Ye,et al.ESMO Asia 2025,540O.
 
[8]中国临床肿瘤学会指南工作委员会.中国临床肿瘤学会(CSCO)肾癌诊疗指南2025.人民卫生出版社.2025.8.
 
[9]Lee CH,Shah AY,Rasco D,et al.Lancet Oncol.2021 Jul;22(7):946-958.
 
[10]Dizman N,Austin M,Considine B,et al.Clin Genitourin Cancer.2023 Apr;21(2):221-229.
 
[11]Hua Xu·Xin Yao et al.Targeted Oncology.2025 Jan;20(1):113-125.
 
[12]中国临床肿瘤学会指南工作委员会.中国临床肿瘤学会(CSCO)免疫检查点抑制剂相关的毒性管理指南2023.人民卫生出版社.2023.4.
 
谢宇教授
湖南省肿瘤医院泌尿外科主任
湖南省肾脏肿瘤临床医学研究中心主任
主任医师、博士生导师
·美国MD安德森癌症中心高级访问学者
·湖南省卫生高层次人才医学学科带头人
·中国抗癌协会前列腺肿瘤整合康复专委会副主委
·中国临床肿瘤学会(CSCO)前列腺癌专业委员会委员
·中国临床肿瘤学会(CSCO)肾癌专业委员会委员
·中国抗癌协会男生殖肿瘤专业委员会委员
·中国抗癌协会中西整合膀胱癌专委会常务委员
·中国医师协会内镜医师分会委员
·湖南省抗癌协会整合肿瘤学专业委员会主任委员
·湖南省抗癌协会泌尿男生殖肿瘤专委会候任主任委员
 
刘志中教授
湖南省肿瘤医院泌尿外科
博士、主任医师、医疗组长
湖南省癌症早筛与早诊早治中心副主任
·美国UC Davis医学中心访问学者,援外医疗专家
·2020年度湖南省抗击新冠肺炎疫情先进个人
·援外医疗工作先进个人
·获津巴布韦副总统/驻津“WHO”/驻津大使馆嘉奖
·2020年“感动中国、感动湖南”被推荐人
·获湖南省医学会医学科技进步奖二等奖/三等奖各1项
·以第一作者或通讯作者发表SCI论文6篇,累计IF=28.544分
·亚洲男科学会前列腺健康管理委员会委员
·湖南省健康管理学会医养结合专业委员会副主任委员
·湖南省抗癌协会泌尿外科专业委员会常委
·湖南省健康管理学会泌尿系疾病全病程管理专业委员会常务委员
·中国医师协会临床精准医疗专业委员会癌症代谢与治疗专业委员会委员
·湖南省预防医学会第二届前列腺疾病防治专业委员会委员
·湖南省医学会男科学专业委员会委员
·湖南省抗癌协会整合肿瘤学专业委员会委员
·湖南省中医药和中西医结合学会男科专业委员会委员
·湖南省健康管理学会加速康复外科专业委员会委员
·长沙市医疗鉴定专家库成员
·长沙医疗纠纷调解指导中心医学专家库成员
 
曹健教授
湖南省肿瘤医院泌尿外科
外科学博士、副主任医师
硕士研究生导师
·湖南省卫生健康委年度“五四青年奖章”
·湖南省芙蓉计划卫生健康“青年人才”
·湖南省医学会泌尿外科学专业委员会青年委员
·湖南省中医药和中西医结合学会泌尿男科专业委员会常务委员
·中国民族医药学会外科分会理事
·湖南省肾脏肿瘤临床医学研究中心秘书
·湖南省国际医学交流促进会泌尿外科专业委员会委员
·湖南省老年医学学会临床精准医疗分会青年委员
·湖南省医学教育科技学会医学三基与临床能力专业委员会模拟医学教育学组组员
·擅长前列腺融合精准穿刺及碘125放射粒子植入
·第二十一届湖南医学科技奖二等奖(排名第二)
 
往期回顾
 
材料编号:
NP-ELU-26N222-Valid Until-2028-April
本资料由和黄医药提供支持
本资料旨在促进医药信息的沟通和交流,而非广告宣传。本资料内容不能以任何方式取代专业的医疗指导,也不应被视为诊疗建议。若您想了解更多有关疾病知识的信息,请咨询医疗卫生专业人士。

本内容仅供医学专业人士参考


肾癌

分享到: 更多