编者按:本期“例精图治”中,四川省肿瘤医院的肖硕萌医生汇报了一例伴腹主动脉旁淋巴结转移的HER2阳性Ⅳ期胃癌患者,经转化治疗获得手术机会并行D2根治术后长期维持,获得超过近4年DFS的病例。该病例提示,对于不可切除的HER2阳性转移性胃癌,赫赛汀在转化治疗中有很大优势,使患者获得了手术机会。术后辅助治疗继续应用赫赛汀,使患者得到了长期获益。
患者初诊信息:
曾XX,39岁,腹痛1月,加重伴腹胀2周。查体上腹部压痛,无反跳痛、肌紧张。既往史、家族史无特殊。
胃镜检查:胃体粘膜粗糙,病理诊断低分化腺癌,活检标本送IHC检测HER2(3+)。

血清肿瘤标志物:CEA>80(0-20ng/ml),CA72-4>300(0-6.9U/ml),CA-125:284 (0-40ng/ml)
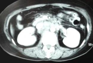
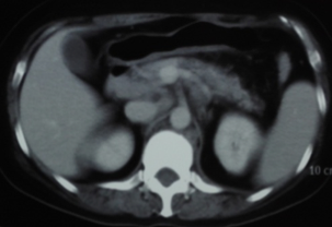
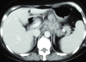
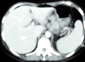
腹部CT:肝胃韧带、肝十二指肠韧带、门腔间隙、胰腺周围、腹主动脉周围多发大小不等的软组织结节影,部分融合成团。
据以上诊断为胃体低分化腺癌(cTxN3M1,IV期)
1、第一阶段治疗
方案:XELOX+曲妥珠单抗

具体用药:卡培他滨 1000mg/m2 po d1-14;奥沙利铂ivgtt 130mg /m2;d1曲妥珠单抗 6mg/kg ivgtt d1 (首次8mg/kg)
治疗2周期、4周期后肿瘤标志物及CT变化情况如下:

腹膜后淋巴结治疗3月(4周期)
2、手术
2016-2-24行全胃切除D2清扫+食道空肠R-Y结肠后吻合术。(备注:分离困难渗出明显,剖视见肿瘤累及近于小弯中上份,无明显边界,约10*5cm)
腹腔镜探查:未发现腹腔内转移结节,双侧卵巢无明显异常。胃癌部分探查未发现异常。
开腹术中见:肝胆胰脾肠未见转移,肿瘤于胃外无法准确判断,但是胃体小弯上方明显硬化状,边界部清楚延及贲门下方,组织明显硬化改变,尤其是肥厚淋巴结清扫区。
术后病理:
胃体:低分化腺癌,部分为印戒细胞癌,浸润粘膜肌层,两侧切缘均未见癌浸润。
淋巴结:<1组淋巴结>0/1枚, <2组淋巴结>0/1枚,<3组淋巴结>1/4枚,<4sa组淋巴结>0/1枚,<4sb组淋巴结>0/1枚,<4d组淋巴结>0/2枚,<5组淋巴结>0/3枚,<6组淋巴结>0/3枚,<7组淋巴结>0/2枚,<8组淋巴结>0/2枚, <9组淋巴结>0/3,<11组淋巴结>0/3枚, <12a组淋巴结>0/1枚查见癌转移。
3、术后治疗
2016.2-2019.7行术后辅助治疗,方案如下:
XELOX+赫赛汀/卡培他滨+赫赛汀/S-1 +赫赛汀/赫赛汀单药维持。
患者2019年11月复查未见复发,此患者目前仍在随访中。
治疗整体过程
此例HER2阳性胃癌患者,经转化治疗获得手术机会并行D2根治术后长期维持,获得超过近4年DFS的病例。在治疗过程中,涉及胃癌转化治疗及抗HER2治疗的很多热点问题,值得借鉴和讨论。
对于Ⅳ期胃癌的治疗,在近几年药物治疗进展的推动下,其整体效果取得了长足的进步。目前认为,对于Ⅳ期胃癌是否存在转化治疗的可能性,主要判断依据为转移病灶的局部可处理性及一线全身药物治疗的反应。Ⅳ期胃癌的转移模式复杂,可能存在多种转移模式并存的情况,因此,准确的基线诊断十分重要。在这个病例中,患者接受了CT及腹腔镜探查的分期检查,确定了该病例存在的唯一不可切除因素为腹主动脉旁淋巴结转移,从而意图对其进行转化治疗的策略是非常合理的。此外,该病例另外一个显著的特点为患者为HER2阳性。众所周知,胃癌的复杂的生物行为学特点是影响其获得良好疗效的重要原因,而TOGA研究的结果表明,HER2阳性胃癌作为一类特殊的胃癌,抗HER2治疗的重要作用是不可替代的。因此,该病例的总体治疗策略的选择是非常正确的。
对于这种存在单一不可切除因素的Ⅳ期胃癌,其总体治疗策略相对明确的情况下,部分细节的问题仍缺乏大样本临床研究的支持和指引(如转化治疗的时长、转化治疗的具体方案,、手术的时机、手术的方式、淋巴结清扫范围、转移灶的处理方法等)。因此,对于不同的个体,不同生物行为学的肿瘤、不同的转移模式、基于多学科团队的个体化治疗仍然是最理想的治疗方式。就这个病例而言,腹主动脉旁淋巴结转移作为唯一不可切除因素的情况,在Ⅳ期胃癌的众多转移模式中是整体预后相对较好的,因此应该予以积极的转化治疗。
日本有研究显示,对于合并腹主动脉旁淋巴结转移的胃癌患者,予以2周期顺铂联合S-1的术前化疗后施行D2+PAND(腹主动脉旁淋巴结切除)并以S-1单药维持至术后1年的治疗方案可以显著改善这类患者的总体生存及无病生存。但值得关注的是,对于经一线化疗后,腹主动脉旁肿大淋巴结已达到临床CR的情况下,是否仍然需要进行腹主动脉旁淋巴结切除的问题还存在争议,目前相关的临床研究正在进行中。在这个病例的治疗中,予以4周期的XELOX+赫赛汀的方案化疗后复查CT见腹主动脉旁淋巴结已完全消失,后进行手术切除,并行D2淋巴结清扫的治疗策略也是比较合理的。这里需要讨论的另外一个问题就是转化治疗的时长及手术时机的关系。由于目前严重缺乏这方面的大样本临床研究证据,因此,一般专家认为应效仿肠癌或间质瘤的转化治疗经验,争取在获得最佳药物治疗疗效的时候进行手术干预,因此,目前转化治疗的时长多不超过6周期。
该病例最后接受的全胃切除+D2淋巴结清扫术,达到R0切除标准,且并未出现手术并发症。目前已有充分的临床研究证据显示,术前治疗(化疗及放化疗)均不会增加手术并发症及手术相关死亡,因而术前治疗是安全可行的。术后病理分期为T1bN0M0,ⅠA期,显然达到了肿瘤降期、实现R0切除的目的,获得了成功的转化。而在术后患者先后以赫赛汀联合两药及口服氟尿嘧啶单药进行41个月的维持治疗,至今复查未发现复发及转移的征象,几乎达到了临床治愈。其中一个非常值得注意的问题就是这类病人术后维持治疗的时间。非常遗憾的是,目前仍然缺乏这方面的研究证据,尤其是对于转化治疗后已经接受R0切除的患者是否仍然需要维持治疗的问题,期待日后的临床研究可以回答这个问题。
总结这个病例的诊治过程,在准确而全面的诊断分析的基础上,结合患者转移模式及分子特征,选择了抗HER2为基础的转化治疗并获得了良好的效果,后患者接受了R0切除后继续接受了长时间的抗HER2为基础的维持治疗,而获得了近4年的DFS,可以说是一个非常成功的病例,其中值得我们关注的问题均尚未有充分的临床研究证据,需要更多的实践与总结。
主治医师
四川省医学会肠外肠内营养分会青委副主任委员
四川省抗癌协会胃癌协作组秘书
四川省抗癌协会胃胰专委会青委委员
成都市抗癌协会肿瘤精准医学专业委员会委员
四川康复医学会肿瘤学分会青年组委员
2012年毕业于四川大学华西临床医学院
2018年赴日本癌症研究会有明医院研修
主持省科技厅课题1项,参研省科技厅、省卫生厅课题3项
发表论文共10余篇,SCI 收录6篇
中山大学肿瘤防治中心 胃外科副主任医师 医学博士
广东省抗癌协会胃癌专业委员会委员兼秘书
广东省抗癌协会胃癌青年委员会副主任委员
中国临床肿瘤学会青年委员
中国医师学会肿瘤外科青年委员
中国医师学会MDT青年委员
中山大学肿瘤防治中心胃癌多学科专家协作组成员
主要研究方向:胃癌、胰腺癌以及软组织肿瘤的临床诊治工作,特别擅长胃癌的综合治疗及分子分型的研究。