当前位置:肿瘤瞭望>百家>病例>正文

例例在望|靶免协同,相得益彰---PD-1/VEGF双抗依沃西单抗治疗晚期NSCLC临床病例分享

作者:肿瘤瞭望   日期:2026/1/12 16:05:09  浏览量:1188

肿瘤瞭望版权所有,谢绝任何形式转载,侵犯版权者必予法律追究。

肺癌是全球范围内发病率和死亡率最高的恶性肿瘤之一,其中非小细胞肺癌(NSCLC)约占85%。尽管靶向治疗和免疫治疗的出现显著改善了晚期NSCLC患者的生存,但如何为不同生物学特征的患者(尤其是复杂耐药患者)制定最佳治疗策略,仍是临床面临的巨大挑战。PD-1/PD-L1抑制剂已成为PD-L1表达阳性患者治疗的重要选择,依沃西单抗作为我国自主研发的全球首个PD-1/VEGF双特异性抗体,其独特的结构和机制为其临床疗效带来了新的可能。本文通过分析两例具有代表性的晚期NSCLC病例,结合HARMONI等最新临床研究数据,深入探讨依沃西单抗在真实世界临床实践中的应用价值。

贾茜淋,马锐辽宁省肿瘤医院胸内二科
 
肺癌是全球范围内发病率和死亡率最高的恶性肿瘤之一,其中非小细胞肺癌(NSCLC)约占85%。尽管靶向治疗和免疫治疗的出现显著改善了晚期NSCLC患者的生存,但如何为不同生物学特征的患者(尤其是复杂耐药患者)制定最佳治疗策略,仍是临床面临的巨大挑战。PD-1/PD-L1抑制剂已成为PD-L1表达阳性患者治疗的重要选择,依沃西单抗作为我国自主研发的全球首个PD-1/VEGF双特异性抗体,其独特的结构和机制为其临床疗效带来了新的可能。本文通过分析两例具有代表性的晚期NSCLC病例,结合HARMONI等最新临床研究数据,深入探讨依沃西单抗在真实世界临床实践中的应用价值。
 
病例介绍

病例1
 
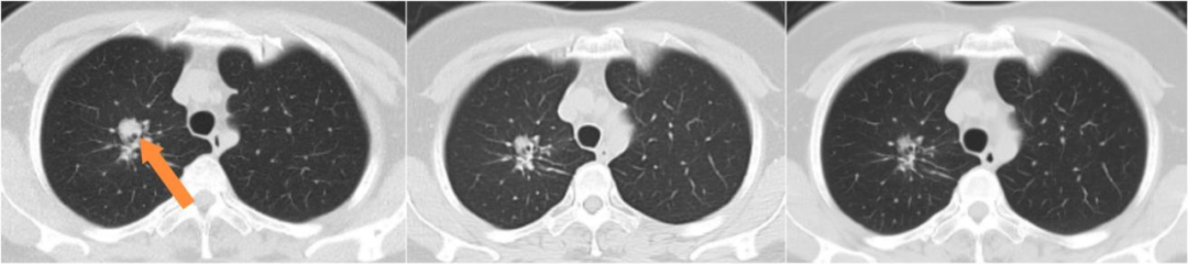
患者男,79岁,2025.5月以“右下肢无力1月”为主诉入院,检查头MRI+C:左侧额叶异常强化,周围片状水肿信号,符合转移瘤;肺CT+C:右肺上叶纵隔旁肿物,可疑恶性。行肺穿刺活检病理诊断为肺腺癌伴少数鳞状分化,免疫组化PD-L1(22C3)TPS=70%,基因检测:KRAS G12V突变,临床分期:cT2aN0M1b IVA期,PS评分1分。恰逢依沃西单抗单药获国家药品监督管理局批准于PD-L1表达阳性(PD-L1 TPS≥1%)的局部晚期或转移性非小细胞肺癌的一线治疗适应症,2025年6月行依沃西单抗单药治疗4周期后患者右下肢无力症状明显缓解,10月复查头增强MRI额叶周围水肿带消失,疗效评价持续PR,治疗期间出现不良反应为恶心呕吐II级,对症止吐治疗后好转,目前持续治疗中。
 
依沃西单抗4周期疗效对比
 
 
病例2
 
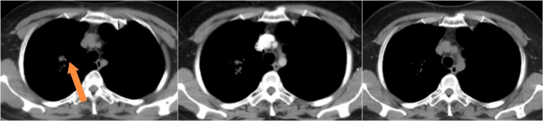
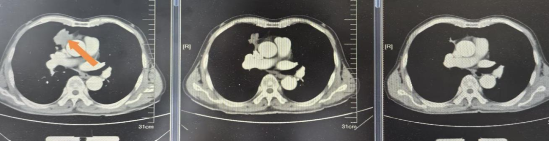
患者女,54岁,2023年11月因咳痰带血,检查肺增强CT提示右肺上叶占位,气管镜检查右肺上叶B2支气管新生物取病理,病理诊断为肺腺癌,基因检测结果:EGFR21L858R突变、TP53突变、BTK突变、ERBB2突变、KRAS扩增、TPS=60%。PET-CT提示右肺上叶肿块考虑恶性,右侧锁骨上、纵隔及右肺门淋巴结转移,临床分期为cT2aN3M0 IIIB期,PS评分1分。患者拒绝根治性放化疗,于2023.12月行伏美替尼80mg治疗,期间每2月复查评效PR,2024.8月复查肺CT肺内病灶增大提示疾病进展,PFS1=8个月;2024.8月行贝伐珠单抗联合AP方案4周期,贝伐珠单抗联合培美曲塞8周期维持治疗,2、4、6、8、10周期评效PR,2025.4月右肺上叶病灶持续增大评效PD,PFS2=8个月;2025.4月行依沃西单抗联合PC方案治疗4周期,依沃西单抗联合培美曲塞维持治疗4周期,2、4、6、8周期评效PR,PFS3超过5个月治疗持续有效中,药物安全性良好,未见相关不良反应发生。
 
依沃西单抗8周期疗效对比
 
 
病例讨论
 
HARMONi-2研究是一项随机、双盲、III期临床试验,旨在评估依沃西单抗与帕博利珠单抗一线治疗PD-L1阳性晚期NSCLC患者的疗效和安全性[1]。该研究将依沃西单抗与帕博利珠单抗进行头对头比较,结果显示,依沃西单抗在多个关键疗效指标上均表现出显著优势。依沃西单抗组的中位无进展生存期(PFS)达到11.14个月,显著优于帕博利珠单抗组的5.82个月,风险比(HR)为0.51,将疾病进展或死亡风险降低了49%。此外,依沃西单抗组的客观缓解率(ORR)和疾病控制率(DCR)分别为50.0%和89.9%,也明显高于对照组的38.5%和70.5%。2025年世界肺癌大会(WCLC)上发布的亚组分析进一步支持了其广泛适用性。在不同PD-L1表达水平人群中,依沃西单抗均表现出更优的PFS获益:在TPS 1–49%人群中HR为0.54,在TPS≥50%人群中HR为0.46。同样,在鳞癌(HR=0.48)和非鳞癌(HR=0.54)患者中,其疗效也一致优于帕博利珠单抗,且安全性整体可控[3]。基于上述证据,依沃西单抗目前已获批准,用于既往未接受过系统性治疗、PD-L1 TPS≥1%且不伴有EGFR或ALK突变的局部晚期或转移性NSCLC患者,为该类患者尤其是PD-L1高表达者提供了新的治疗选择。
 
HARMONi-A研究是一项Ⅲ期随机双盲对照临床试验,旨在评估依沃西单抗联合化疗,对比单纯化疗在EGFR-TKI治疗进展后的EGFR突变转移性非小细胞肺癌(NSCLC)患者中的疗效与安全性[2]。研究结果显示,依沃西单抗联合化疗显著改善无进展生存期(PFS),中位PFS分别为7.1个月和4.8个月,风险比(HR)为0.46,使疾病进展或死亡风险下降54%。在多个预设亚组中,该联合治疗方案均表现临床获益:脑转移患者风险下降60%;既往接受过1种或≥2种EGFR-TKI治疗的患者风险分别下降53%和54%;19外显子缺失突变患者风险下降52%;而在T790M突变阳性人群中,风险降幅更为显著达78%[4]。近期在世界肺癌大会(WCLC)[5]上公布的更新数据显示,随着随访时间延长,依沃西单抗联合化疗组的中位PFS为6.8个月,对照组为4.4个月(HR=0.52),总生存期(0S)数据也持续改善,HR值为0.78,具有统计学显著性,显示出明确的生存获益趋势。基于HARMONi-A研究的结果,依沃西单抗联合化疗方案用于TKI耐药适应症已在中国获批上市并纳入医保目录,同时被《2025 CSCO非小细胞肺癌诊疗指南》列为I级推荐,成为其在EGFR-TKI进展后NSCLC治疗中的又一选择[6]
 
结论与未来展望
 
本文报告的两例晚期NSCLC患者,一例为PD-L1高表达伴脑转移的初治患者,另一例为多线治疗(包括EGFR-TKI和化疗)耐药后伴有复杂基因突变的患者。他们在接受依沃西单抗(单药或联合化疗)治疗后,均获得了明显的临床获益,最佳疗效均达到PR,并且安全性良好。这两个病例与HARMONI的研究结果相互印证,依沃西单抗在晚期NSCLC治疗中未来可期。
 
马锐教授
辽宁省肿瘤医院胸内二科主任,肿瘤学博士,中国医科大学、大连医科大学硕士研究生导师。
学术兼职:中国临床肿瘤学会理事会理事,中国老年学学会老年肿瘤专业委员执行委员,中国老年学学会老年肿瘤专业委员肺癌分委会常务委员,中国医药教育协会肺部肿瘤专委会常务委员,辽宁省生命科学学会常务理事,中国抗癌协会肺癌专业委员会委员,辽宁省抗癌协会理事会理事,辽宁省生命科学学会肺癌专业委员会主任委员,辽宁省抗癌协会肿瘤转移专业委员会主任委员,辽宁省抗癌协会肿瘤标志物专业委员会副主任委员,辽宁省医学会内科学分会委员会常务委员,辽宁省生命科学学会老年肿瘤专业委员会常务委员,沈阳市医学会肺部肿瘤学分会副主委,中国肿瘤生物治疗杂志、中国实用内科、医学与哲学,沈阳医学院学报等多家杂志编委及审稿专家。沈阳市领军人才。
主持省部级、市级课题9项,获辽宁省科技进步三等奖2项、沈阳市科技进步二等奖1项,第一及通讯作者发表论文50余篇。
 
贾茜淋教授
辽宁省肿瘤医院胸内二科住院医师肿瘤学硕士

本内容仅供医学专业人士参考


肺癌

分享到: 更多