当前位置:肿瘤瞭望>百家>病例>正文

优例新解丨T-DXd破解THP快速进展困局:4周期达CR,安全可控实现深度持久缓解

作者:肿瘤瞭望   日期:2026/1/20 11:32:52  浏览量:23

肿瘤瞭望版权所有,谢绝任何形式转载,侵犯版权者必予法律追究。

 
 
病例介绍
 
程某某,女,47岁,于2024年3月27日来我院就诊。
 
主诉:右乳癌术后3年余,右侧颈部淋巴结肿大1月余。
 
现病史:3年余前因“右腺癌”在外院全麻下行“右乳单纯切除+右腋窝前哨淋巴结活检术”。术后病理提示:右乳浸润性导管癌,SBRⅡ级,大小3.0cm×1.8cm,脉管内见癌栓,IHC:ER(-),PR(-),HER2(3+),Ki67(+80%);(右侧腋窝前哨)淋巴结未见癌转移(0/4)。
 
术后行TCbH方案6周期并完成1年单靶(H)治疗。复查期间结果无异常。
 
1月余前无明显诱因出现右颈部淋巴结肿大,无局部红肿、发热、疼痛等特殊不适,5天前于外院就诊,未行特殊治疗。
 
专科查体:右乳缺如,于右胸壁可见一长约20cm横形切口瘢痕,切口愈合良好。右侧胸壁胸骨部可见局部隆起,直径约5.0cm,质硬,边界欠清,固定。左乳外观正常,未触及明显肿块。右侧胸锁乳突肌中段外侧缘处可触及一肿块,直径约3.0cm,质硬,边界欠清,固定。双侧腋窝及左侧锁骨上区淋巴结未触及肿大淋巴结。
 
个人史、既往史、家族史无特殊,患者于19年前接受“剖腹产”手术,43岁绝经
 
入院诊断:右乳癌术后右胸壁、右侧锁骨上区淋巴结、骨转移。
 
影像学检查:
 
CT(2024.03.27):1、右侧锁骨上窝肿大淋巴结;2、甲状腺多发结节,请结合超声检查;3、前上纵膈及临近右前胸壁软组织影;4、胸骨局部骨皮质欠规整,建议结合ECT;5、胆囊结石;6、左肾小囊肿;7、头颅、盆腔未见明显异常。
 
 
ECT(2024.03.27):胸骨及右侧约第2前肋摄取放射性增高灶,考虑骨转移可能,请结合临床。
 
穿刺病理:(右侧锁骨上淋巴结)增生的纤维组织及脂肪组织中见转移性癌。
 
免疫组化:ER(-),PR(-),HER2(3+,克隆号4B5),Ki67(50%+),CK7(+),GATA-3(+),TRPS1(+),E-Cadherin(+),P120(膜+),CK5/6(-)。符合转移性乳腺癌。
 
诊断:右乳癌术后多处转移(右侧胸壁、纵膈、右侧锁骨上区淋巴结、骨)
 
治疗过程
 
▌HER2阳性晚期一线解救治疗
 
治疗方案:THP+唑来膦酸
 
疗效评价:

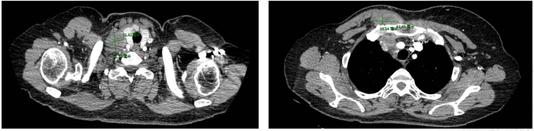
CT评估(右侧锁骨上区淋巴结):
 
 
CT评估(右胸壁):
 
 
2024年9月10日患者发现右侧颈部淋巴结再次肿大(患者习惯触诊颈部)。并于2024年9月11日再次入院。相关检查如下:
 
专科查体:右侧胸壁胸骨部可见局部隆起,直径约3.5cm,质硬,边界欠清,固定。右侧胸锁乳突肌中段外侧缘处可触及一肿块,直径约3.0cm,质硬,边界欠清,固定。
 
影像学检查:超声(2024.09.11)显示:右侧锁骨上窝低回声(考虑异常淋巴结);右胸壁多发低回声(考虑恶性)。CT(2024.09.11)提示:1、右侧锁骨上窝淋巴结转移可能;2、前纵隔、右前胸壁胸骨、第2前肋转移可能;3、纵隔淋巴结转移可能。
 
病理诊断:【右胸壁肿块穿刺,活检】增生纤维组织内见癌组织浸润/转移;IHC示:ER(-),PR(-),HER2(3+,克隆号4B5),Ki67(70%+)。
 
【右锁骨上窝肿块穿刺,活检】见癌组织转移,结合免疫组化符合乳腺来源。IHC示:ER(-),PR(-),HER2(3+,克隆号4B5),Ki67(50%+),TRPS1(+),GATA-3(+)。
 
MDT讨论后诊断:右乳癌术后多处转移(右侧胸壁、纵膈、右侧锁骨上区淋巴结、骨)一线解救治疗后进展
 
▌HER2阳性晚期二线解救治疗
 
治疗方案:T-DXd+唑来膦酸
 
二线治疗4周期后临床查体CR。
 
 
截至2025年9月异地就医前,患者进行了18周期T-DXd治疗,安全性评估:
 
1、消化道反应:恶心、呕吐,用三联止吐+奥氮平对症支持治疗。
 
2、血液学毒性:1-2级,用短效升白进行治疗。
 
3、间质性肺病:暂未发生。
 
 
该病例为47岁的HER2+晚期乳腺癌患者,右乳癌术后辅助治疗(TCbH)3年后出现胸壁、区域淋巴结及骨转移。一线接受THP方案治疗约6个月后即出现局部进展,提示原发耐药。自2024年9月起,二线换用T-DXd进行治疗。疗效显著,治疗4周期后临床查体即达到CR,影像学评估显示病灶持续显著缩小。截至2025年9月异地就医前,患者持续处于“临近CR”状态,且安全性良好,未发生间质性肺病等严重不良反应。该病例成功印证了T-DXd对于THP治疗失败后的HER2阳性晚期乳腺癌患者,能够提供强效、深度且持久的疾病控制。
 
专家点评
 
 
本病例最值得关注的是,这位多发转移的HER2阳性晚期乳腺癌患者,在THP一线治疗快速进展后,二线换用T-DXd仅4个周期就实现了CR。既往临床实践经验提示,达到CR的患者往往提示有更深度的肿瘤缓解和更持久的疾病控制,此类患者通常伴随更长的PFS和OS,为长期生存奠定了重要基础。截至异地就医前,患者仍处于“临近CR”的状态。这充分印证了T-DXd对于THP治疗失败后的HER2阳性晚期乳腺癌患者的强效、深度且持久的疾病控制能力。
 
在安全性方面,T-DXd治疗期间患者仅出现轻微的消化道反应和血液学毒性,且通过对症治疗得到有效控制,未发生间质性肺病等严重不良反应,显示了T-DXd良好的安全性和耐受性。
 
该患者的治疗过程,不仅为HER2阳性晚期乳腺癌患者治疗提供了良好的范例,也进一步验证了T-DXd在此类患者中的临床价值。有以下几点值得深入探讨:
 
1、患者右乳癌术后辅助治疗3年后出现多发转移,一线THP方案治疗仅6个月便出现进展,属于快速进展人群,预后通常较差。《中国抗癌协会乳腺癌专业委员会(CBCS)&中华医学会肿瘤学分会乳腺肿瘤学组(CSOBO)乳腺癌诊治指南与规范精要本(2026年版)》[1]及国内外多部指南,均优先推荐T-DXd作为此类患者的二线标准治疗。其依据源于DESTINY-Breast03研究[2],该研究结果显示,对于曲帕双靶经治的患者,T-DXd相较于T-DM1,能显著延长患者的中位PFS和OS时间,确立了T-DXd在HER2阳性晚期乳腺癌患者治疗中的绝对优势地位。此外,在既往治疗<3线的人群中,患者mPFS可达到37.3个月,2025年SABCS大会公布的DESTINY-Breast03研究最终生存分析显示,T-DXd二线治疗的中位总生存期(mOS)达到56.4个月[3]。这一数据甚至接近曲帕双靶一线治疗的CLEOPATRA研究结果(mOS57.1个月)[4],充分印证了T-DXd强大的生存获益优势。
 
△DESTINY-Breast03研究最终OS结果[3]
 
2、安全前提下的长程治疗:虽然患者治疗过程中出现了1-2级血液学毒性和消化道反应,但通过支持治疗得以控制,且最受关注的间质性肺病(ILD)未发生。这为持续应用T-DXd长达18周期奠定了安全基础。这也提醒我们在临床实践中,对药物的毒副反应(尤其是ILD)应保持“高度重视、常规监测、提前管理”的原则,从而保障患者能够安全地接受足疗程治疗,最大化获益。
 
总之,本病例是T-DXd在中国HER2阳性晚期乳腺癌二线治疗中高效、安全应用的生动体现,为临床医生提供了极具参考价值的经验分享。
 
刘慧教授
河南省人民医院乳腺外科主任医师
医学博士,硕士研究生导师
中国医药教育协会乳腺疾病专业委员会副主任委员
中国医师协会乳腺疾病专家培训委员会常务委员
中国抗癌协会乳腺癌专业委员会委员
中国医师协会肿瘤医师分会乳腺癌学组委员
河南省健康管理学会女性乳房健康管理专科分会主任委员
河南省抗癌协会乳腺癌专业委员会副主任委员
河南省抗癌协会乳腺癌专业青年委员会主任委员
河南省医院协会乳腺疾病管理与创新分会副主任委员
河南省医学会乳腺病学分会常务委员
 
贺亚宁教授
河南省人民医院乳腺外科副主任医师,医学博士
中国医药教育协会乳腺疾病青委会委员
河南省抗癌协会乳腺癌专业青委会委员
河南省医院协会乳腺疾病管理与创新分会委员
北京乳腺病防治学会青委会常委
河南省生命关怀协会肿瘤防治康复科普专委会委员
 
参考文献:
 
1、《中国抗癌协会乳腺癌专业委员会(CBCS)&中华医学会肿瘤学分会乳腺肿瘤学组(CSOBO)乳腺癌诊治指南与规范精要本(2026年版)》.
 
2、Hurvitz SA,Hegg R,Chung WP,et al.Trastuzumab deruxtecan versus trastuzumab emtansine in patients with HER2-positive metastatic breast cancer:updated results from DESTINY-Breast03,a randomised,open-label,phase 3 trial.Lancet.2023;401(10371):105-117.doi:10.1016/S0140-6736(22)02420-5
 
3、Im SA,et al.PS5-01-30 Trastuzumab deruxtecan(T-DXd)versus trastuzumab emtansine(T?DM1)in patients(pts)with human epidermal growth factor receptor 2-positive(HER2+)metastatic breast cancer(mBC):Final analysis from DESTINY-Breast03.SABCS 2025.
 
4、Swain SM,Miles D,Kim SB,et al.Pertuzumab,trastuzumab,and docetaxel for HER2-positive metastatic breast cancer(CLEOPATRA):end-of-study results from a double-blind,randomised,placebo-controlled,phase 3 study[J].Lancet Oncol,2020,21(4):519-530.DOI:10.1016/S1470-2045(19)30863-0

本内容仅供医学专业人士参考


乳腺癌

分享到: 更多