当前位置:肿瘤瞭望>百家>病例>正文

优例新解丨T-DXd安全性可管可控:ILD后再挑战成功,PFS持续获益20个月仍未进展

作者:肿瘤瞭望   日期:2026/3/27 19:08:59  浏览量:32

肿瘤瞭望版权所有,谢绝任何形式转载,侵犯版权者必予法律追究。

 
病例介绍
 
赵XX,女,58岁。
 
主诉:左乳腺癌术后6年余,肝转移化疗后3周。
 
婚育史:已婚,育有1子1女。
 
既往史、个人史、家族史无特殊。
 
治疗经过
 
手术及辅助治疗
 
手术:2010年5月于当地医院行左乳腺癌根治术,术后病理不详。
 
术后辅助治疗:术后予化疗5次,具体方案不详,未行放疗。
 
术后内分泌治疗:他莫昔芬5-6年。
 
复发转移
 
2020.7.7因发现左侧上胸壁结节在当地医院行左侧上胸壁结节手术,术后病理示:左上胸壁结节找到癌细胞。
 
2020-8-5行PET-CT示:1.多发淋巴结转移;2.左侧胸大肌及胸小肌局部高代谢灶,肿瘤浸润可能。
 
DFS:10年
 
一线治疗:来曲唑片2.5mg qd
 
再次进展
 
2022-12自查发现左锁骨上肿块明显增大,未及时诊治。
 
2023-4-29行CT增强提示:左侧颈根部、左下胸壁、背部软组织肿块伴多发结节;左侧锁骨上及双侧腋下多发淋巴结肿大;纵膈多发淋巴结肿大;多发骨质破坏,考虑乳腺癌术后广泛转移;肝脏多发低密度转移灶。
 
PFS:29月
 
2023-05-05肝脏穿刺病理示:(肝脏)条锁状肝组织内见腺癌(结合病史及免疫组化,符合乳腺癌转移)。免疫组化:Her2(BC)(2+且FISH阴性)、ER(+++,90%)、PR(++,10%)、Ki-67(+,45%)、AR(+++,90%)、GATA3(+)、SOX10(-)。
 
一线化疗
 
2023-05-24至2023-12-19予8周期“白蛋白紫杉醇125mg/m2 d1-8”化疗,最佳疗效为PR。
 
 
一线维持治疗
 
2024-01-05开始予氟维司群+达尔西利内分泌治疗维持。
 
2024-06-18上腹部MR:乳腺癌肝转移化疗后复查,对照2024.03.21MR:肝多发转移瘤,较前增多、增大。部分胸椎异常信号,考虑转移,较前相仿。
 
一线PFS:13月。
 
 
二线治疗
 
DB-04研究结果显示,在总人群中,T-DXd组的中位总生存期较化疗组显著延长;基于该研究结果,国内外多项权威指南已一致推荐T-DXd作为HER2低表达晚期乳腺癌的标准治疗方案,尤其适用于既往接受过治疗的患者。基于DB-04的研究数据、国内外指南推荐及其可及性,患者于2024-07-08至2025-02-25予11周期“德曲妥珠单抗300mg,q3w”治疗,2周期后PR。
 
 
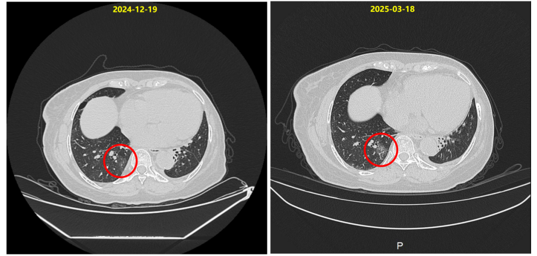
2025-03-18复查胸部CT提示:右肺下叶炎症考虑,局部较前明显,建议复查。
 
 
2025-03-19开始予甲泼尼龙(12mg po bid)治疗[等于0.5mg/(kg?d)泼尼松],10天后改为(8mg po bid)。
 
2025-04-09复查胸部CT:肺下叶炎症考虑,较前吸收,建议复查。
 
 
2025-04-10予甲泼尼龙(4mg po bid)治疗,2025-04-20至2025-04-30予甲泼尼龙(4mg po qd)治疗。
 
2025-05-05复查胸部CT:前片右肺下叶炎性灶基本吸收。
 
ILD完全控制,恢复T-DXd治疗:
 
患者于2025-05-06恢复德曲妥珠单抗(300mg,q3w)靶向治疗。
 
 
 
患者于2010年5月行左侧乳腺癌根治术,术后接受辅助化疗及他莫昔芬内分泌治疗,疾病稳定长达10年。2020年出现胸壁及淋巴结转移,后历经多线治疗,包括来曲唑治疗、化疗及CDK4/6抑制剂维持,疾病仍持续进展。基于DB-04研究的优异数据,患者于2024年7月启动二线T-DXd单药治疗,2周期后即达PR,显示出T-DXd在HR+/HER2低表达人群中的高效性。
 
同时在T-DXd治疗过程中,患者于第11周期后出现右肺下叶炎症,经影像学评估确诊为1级间质性肺病。我们立即启动大剂量甲泼尼龙治疗,后逐步减量,ILD在22天内明显缓解,45天内基本消失。在确保ILD完全控制后,我们于2025年5月再启动T-DXd治疗,患者持续获益,影像学评估持续PR。该病例充分体现了在T-DXd使用过程中ILD这一关键不良反应的可管理性。通过早期识别、及时干预、规范减量和再挑战,患者不仅安全度过风险期,还继续从T-DXd治疗中持续获益。
 
专家点评
 
 
近年来,抗HER2的抗体药物偶联物(ADC)在HER2低表达肿瘤治疗中展现出显著疗效,临床应用日益广泛。在当前医疗环境不断发展和研究持续推进的背景下,如何在保障疗效的同时兼顾用药安全性,从而确保患者获得最大程度的临床获益,已成为亟需关注和解决的重要课题。
 
T-DXd作为一种新型HER2 ADC,凭借其高药物载荷、可裂解连接子及强效旁观者效应,在多种实体瘤中展现出了较好的疗效与可控的安全性。DB-04研究打破了既往乳腺癌HER2阴阳性的传统二元分法,为HER2低表达患者提供了新的治疗选择。此外,无论患者既往是否接受过CDK4/6抑制剂治疗,接受T-DXd治疗的患者无进展生存均保持获益一致[1]。基于该研究结果,国内外多项权威指南已一致推荐T-DXd作为HER2低表达晚期乳腺癌的标准治疗方案,尤其适用于既往接受过治疗的患者。
 
本病例中的患者为HR+/HER2低表达晚期乳腺癌,既往经内分泌治疗、化疗及CDK4/6抑制剂治疗后出现疾病进展,符合DB-04研究患者的入组条件且2024年T-DXd已经在我国获批HER2低表达领域的适应症,并实现药物可及。本例患者在接受T-DXd治疗2周期后即达PR,目前PFS已超过20个月且仍在持续接受治疗,这一案例进一步支持了T-DXd在HER2低表达晚期乳腺癌中的应用。
 
△DB-04研究在HR+亚组和全人群中的治疗疗效
 
同时,发生ILD是T-DXd治疗中需要关注的不良事件。本例患者接受T-DXd治疗过程中,于第11周期后出现了1级ILD,影像学表现为右肺下叶局限性炎症,无临床症状。团队在第一时间识别并启动激素干预(甲泼尼龙12mg bid),22天后复查CT显示炎症吸收,随后规范减量,约1个月后CT证实完全吸收。这一过程完全符合既往中华肿瘤杂志发表的《抗肿瘤药物相关间质性肺病诊治专家共识(2022)》[2]的分级管理原则。
 
△《抗肿瘤药物相关间质性肺病诊治专家共识(2022)》不同抗肿瘤药物相关间质性肺病的分级管理
 
ILD后T-DXd再挑战的可行性与安全性
 
本例患者ILD完全缓解后,于停药49天重启T-DXd治疗,剂量不变,后续随访多月余未见ILD复发,疗效持续。这一管理策略与2025年ASCO发布的真实世界研究数据高度一致[3]:该研究提示,患者出现1级ILD后,经规范治疗可尝试再挑战,患者仍能获得持久临床获益;同时,使用类固醇治疗可显著加速ILD影像学改善;而接受再挑战的患者中,复发性ILD的发生率较低,且大多为1级事件,未见5级事件发生。这些数据进一步支持了ILD患者应用T-DXd治疗再挑战策略的可行性与安全性。
 
总结
 
本病例是一例典型的HR+/HER2低表达晚期乳腺癌治疗病例,患者经T-DXd治疗后获得显著缓解,虽治疗过程中发生1级ILD,但通过规范化管理成功再挑战,疗效与安全性兼得。该病例为临床提供了宝贵的ILD管理经验,也再次印证了T-DXd在HER2低表达晚期乳腺癌中的核心地位,以及科学管理不良反应对实现长期获益的重要性,为ADC药物的个体化治疗和不良反应管理提供了重要参考。
 
邵喜英教授
浙江省肿瘤医院乳腺内科
医学博士主任医师硕士生导师国家二级心理咨询师
院“1022”人才培养第二层次
中国抗癌协会中西整合乳腺癌专业委员会委员
浙江省抗癌协会乳腺癌专委会委员
浙江省数理医学会乳腺诊疗专业委员会副主任委员
中国抗癌协会乳腺癌专业委员会青年专家组成员
中华医学会乳腺学组青年专家组成员
浙江省抗癌协会肿瘤心脏病学专委会常务委员
浙江省免疫学会专委会委员
浙江省肿瘤诊治质控中心乳腺癌专家委员会委员、秘书
北京癌症防治学会乳腺癌个体化诊疗及MDT专委会常务委员
长江学术带乳腺联盟委员
浙江省抗癌协会肿瘤内科专业委员会青年委员
浙江省数理医学肿瘤精准诊治专业委员会委员
浙江省医师协会乳腺肿瘤专业委员会青年委员
浙江省自然科学基金评审专家
广东省自然科学基金评审专家
广东省高层次人才评审专家
 
李广亮医生
浙江省肿瘤医院
博士,特聘副研究员,主治医师;
乳腺肿瘤MDT秘书
中国抗癌协会肿瘤营养专业委员会肿瘤营养诊断专家协作组委员;
浙江省转化医学会精准医学分会委员兼秘书;
浙江省抗癌协会肿瘤营养与支持治疗专委会青委;
浙江省免疫学会肿瘤免疫与生物治疗专委会青委;
院“人才振兴30计划”培养对象。
2021年度登峰之旅·西湖杯:肿瘤病例MDT(乳腺癌)菁英赛冠军
主持国家自然科学基金1项,省、厅级基金项目2项;主参国家及省级自然科学基金10余项。
作为Sub-I参与数十项国内外多中心临床研究。
以第一作者身份发表SCI论文十余篇。
参编专著2部、译著2部。
 
参考文献:
 
1、Modi,Shanu et al.“Trastuzumab deruxtecan in HER2-low metastatic breast cancer:long-term survival analysis of the randomized,phase 3 DESTINY-Breast04 trial.”Nature medicine vol.31,12(2025):4205-4213.doi:10.1038/s41591-025-03981-4
 
2、抗肿瘤药物相关间质性肺病诊治专家共识专家委员会.抗肿瘤药物相关间质性肺病诊治专家共识[J].中华肿瘤杂志,2022,44(7):693-702.DOI:10.3760/cma.j.cn112152-20220412-00244.
 
3、Kelsey H.Natsuhara,et al.2025 ASCO Abstract 1015
 
2023 SABCS PS08-01

本内容仅供医学专业人士参考


乳腺癌

分享到: 更多