当前位置:肿瘤瞭望>百家>病例>正文

FRUSICA-2病例启示丨呋喹替尼联合信迪利单抗序贯单药呋喹替尼二线治疗晚期肾细胞癌(RCC)患者一例,目前PR已维持约38个月

作者:肿瘤瞭望   日期:2026/4/3 16:07:27  浏览量:26

肿瘤瞭望版权所有,谢绝任何形式转载,侵犯版权者必予法律追究。

晚期肾细胞癌(RCC)5年生存率不足20%[1-2],对于一线治疗失败的患者,目前临床上仍有亟待满足的临床需求;特别是对于靶向联合免疫作为二线治疗方案,尚缺乏高级别、大样本III期确证性研究的循证医学证据。2025年ESMO大会公布的FRUSICA-2研究,作为国内首个靶向联合免疫用于晚期肾癌二线治疗的III期确证性研究,提示呋喹替尼联合信迪利单抗组合,或可为此类患者带来一定的生存获益。本期分享的研究内真实病例,二线使用该方案序贯单药治疗,PR已维持38个月,用临床实例解读本方案的表现。

编者按:晚期肾细胞癌(RCC)5年生存率不足20%[1-2],对于一线治疗失败的患者,目前临床上仍有亟待满足的临床需求;特别是对于靶向联合免疫作为二线治疗方案,尚缺乏高级别、大样本III期确证性研究的循证医学证据。2025年ESMO大会公布的FRUSICA-2研究,作为国内首个靶向联合免疫用于晚期肾癌二线治疗的III期确证性研究,提示呋喹替尼联合信迪利单抗组合,或可为此类患者带来一定的生存获益。本期分享的研究内真实病例,二线使用该方案序贯单药治疗,PR已维持38个月,用临床实例解读本方案的表现。
 
(提示注意:以下病例简评仅系相关主治医生在执业过程中的病情回顾与评述,供医生读者科学交流和参考。个体病例通常具有差异性,具体治疗方案及用药应当结合个体情况作出,并严格遵循医嘱。)
 
病例介绍

基本情况
 
患者,男,69岁。
 
主诉
 
左肾透明细胞癌根治术后进展伴肺转移,靶向治疗后进展伴骨转移。
 
现病史
 
2013年4月:外院CT发现左肾占位,考虑肾癌,术前临床分期为“cT2N0M0”。排除手术禁忌后于2013年4月18日在全麻下行“经腹腔镜肾癌根治性切除术(左侧)”,术后病理活检提示:左肾透明细胞癌(核分级II级),病理分期pT2N0M0,术后规律随访。
 
2016年9月:外院复查胸部CT提示:双肺转移(具体不详)。临床分期“cTxNxM1,IV期(IMDC低危)”,随后开始行索拉非尼一线治疗(2016.09-2022.11)。
 
2022年10月:因左髋部疼痛伴左下肢活动不利,于外院行左侧髋关节CT提示:左侧髂骨见片状溶骨性骨质破坏,呈软组织密度团影,大小约55mm x 68mm;余左髋关节诸骨见骨质增生,考虑骨转移,疾病进展(PD)。
 
2022年11月29日:为求进一步诊治入我院。
 
既往史
 
高血压病史5年,血压控制情况不详,未口服药物控制血压,入院血压140/82mmHg。
 
辅助检查
 
胸部CT(2022-12-13)平扫+增强:双肺转移;左侧髋关节CT:左侧髂骨见片状溶骨性骨质破坏,周围软组织肿胀,考虑骨转移。
 
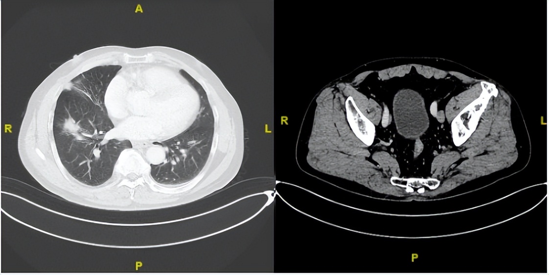
基线(2022年12月13日)
△基线胸部CT和盆腔CT髂骨病灶
 
当前诊断
 
肾透明细胞癌肺转移、骨转移(cTxNxM1,IV期)
 
高血压病2级
 
治疗经过
 
患者于2022年12月8日签署知情同意书,入组“评价呋喹替尼联合信迪利单抗对比阿昔替尼或依维莫司单药二线治疗局部晚期或转移性肾细胞癌的疗效和安全性的多中心、随机、开放、阳性对照的Ⅱ/Ⅲ期临床研究”,2022年12月21随机分配至“呋喹替尼+信迪利单抗组”,并于2022年12月22日开始用药,具体方案:呋喹替尼5mg,po,qd,D1-14+信迪利单抗200mg,ivgtt,D1,q3w。
 
治疗第9周(C3)肿评:独立中心影像评估为疾病稳定(SD)。
 
治疗第15周(C5)起:连续31个周期经独立中心影像评估均为部分缓解(PR)。
 
治疗第108周(C36)起:序贯呋喹替尼5mg单药治疗,持续维持PR,截至目前PFS已达38个月,仍在持续获益。
 
安全性管理
 
治疗第120周因3级高血压、2级手足综合征调整呋喹替尼剂量至4mg,对症治疗后完全缓解,整体不良反应可控、耐受性良好
 
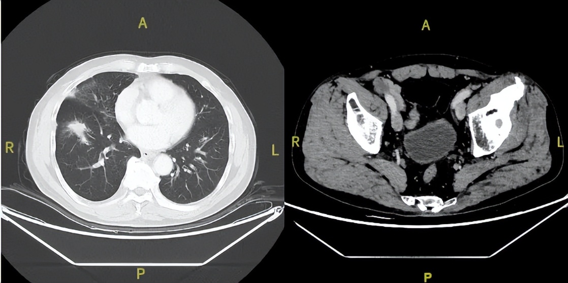
2023年1月31日
 
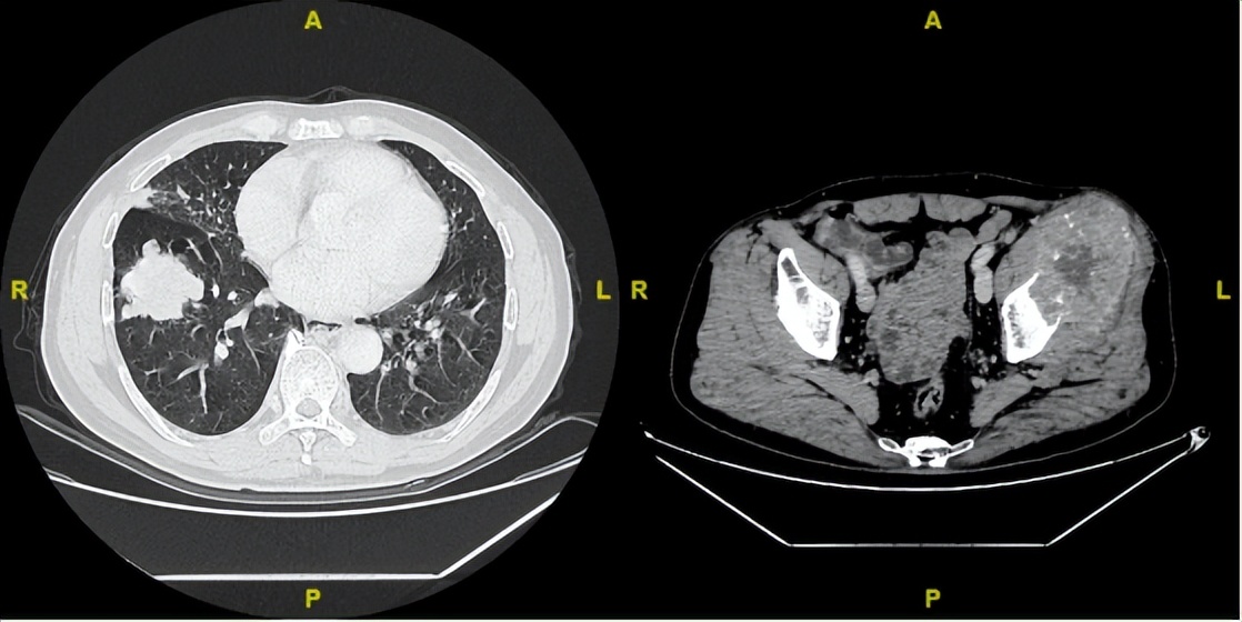
2024年2月19日
 
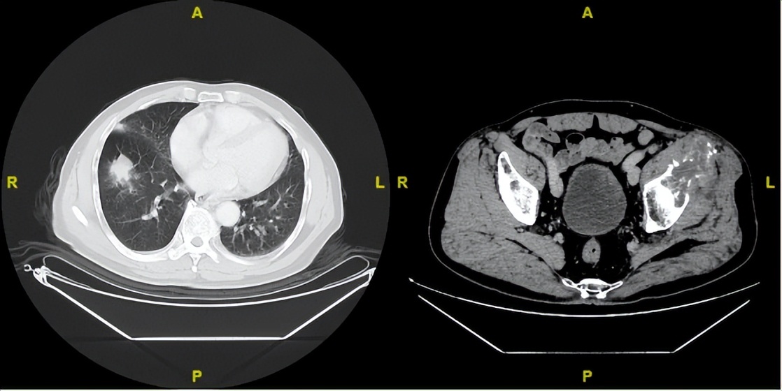
2025年9月24日
△治疗后不同随访时间的胸部及髋关节CT病灶变化
 
不良反应情况
 
高血压3级;红肿疼痛2级,口腔炎、声音嘶哑、四肢水肿1级,高血糖症1级,体重增加1级,牙痛、促甲状腺激素升高1级,高胆固醇血症1级。
 
病例小结
 
患者病程长达10余年,2013年4月首次因CT发现左肾占位就诊,遂行左肾癌根治性切除术,术后病理证实为左肾透明细胞癌。2016年9月复查胸部CT发现复发进展伴双肺转移,随后开始行索拉非尼一线靶向治疗。2022年10月患者出现左髋部疼痛伴左下肢活动不利,于外院行左侧髋关节CT提示骨转移。2022年12月患者入组III期FRUSICA-2临床试验。
 
△FRUSICA-2研究III期研究设计
 
接受呋喹替尼联合信迪利单抗二线治疗,5个周期疗效评价达PR,36个疗程后序贯呋喹替尼单药治疗,目前(截止2026年2月9日)PR已维持38个月,实现了较长的无进展生存(PFS),超过了目前晚期RCC二线治疗4.0~14.6个月的中位PFS[3-5]。治疗期间安全性可控,不良反应易于管理,提示了呋喹替尼联合信迪利单抗序贯单药治疗方案,在晚期RCC二线治疗中的潜力。
 
病例提供者,复旦大学附属肿瘤医院泌尿外科瞿元元/王珊珊
 
 
肾细胞癌(RCC)是较为常见的泌尿系统恶性肿瘤,其中肾透明细胞癌是最为常见的病理类型,约占总体肾癌的85%。临床中,有大约15%~20%的初诊RCC患者存在远处转移,此类晚期疾病患者预后较差,5年生存率不足20%[1-2]。近年来,小分子TKI单药或联合免疫治疗已经成为晚期肾癌患者的一线治疗标准,但对于一线治疗失败的患者,目前可选的治疗方案有限。

对于TKI一线治疗失败后的晚期RCC患者,多项二线治疗研究数据显示,患者中位无进展生存(mPFS)不足一年,缓解程度有限:单药治疗方面,依维莫司治疗患者的mPFS为4.9个月,客观缓解率(ORR)为1.8%,卡博替尼、阿昔替尼等TKI单药的mPFS分别为7.4个月、8.3个月,ORR分别为17%、23%;而纳武利尤单抗的免疫单药治疗mPFS为4.6个月,未能带来大幅度提升、ORR为25%[3-6]。二线联合治疗方面,也有3项研究进行了探索,其中伏罗尼布+依维莫司的mPFS为10个月,ORR为24.8%,仑伐替尼+帕博利珠单抗的mPFS为11.8个月,ORR超过半数(52.9%),仑伐替尼+依维莫司的mPFS超过1年(14.6个月),ORR 43%[7-9],但仍然存在着未满足的需求。且靶向联合免疫方案缺乏高级别循证医学证据,在《2025 CSCO肾癌诊疗指南》中,有个别靶向联合免疫方案作为II级或III级推荐[10],临床亟需探索新型治疗策略。

呋喹替尼是一种高选择性血管内皮生长因子受体酪氨酸激酶抑制剂(VEGFR-TKI),多项临床前研究提示其联合PD-1/L1抑制剂或具有协同增效潜力[11]。2025年ESMO大会公布的FRUSICA-2 III期研究是国内首个靶向联合免疫对比标准单药在二线治疗的III期确证性研究,研究数据显示:呋喹替尼联合信迪利单抗对比阿昔替尼或依维莫司用于晚期RCC二线治疗[12],BIRC评估的呋喹替尼联合信迪利单抗组的中位PFS达到了22.21个月,显著优于对照组的6.90个月(HR 0.373,P<0.0001,下图),ORR提高2.5倍(60.5%vs 24.3%,OR 4.622,P<0.0001),且联合治疗的安全性和耐受性良好。FRUSICA-2研究的第2部分[13]则进一步验证了呋喹替尼单药二线治疗的疗效和安全性,ORR达35.5%,中位PFS达11.07个月。在安全性方面,呋喹替尼联合信迪利单抗的耐受良好、安全性可控,多数不良事件无需调整剂量,部分患者在调整剂量和对症治疗后即可得到缓解并恢复用药。
 
△III期FRUSICA-2研究的PFS和ORR结果
 
从III期FRUSICA-2研究数据来看,呋喹替尼联合信迪利单抗用于晚期RCC二线治疗,取得了ORR和中位PFS具有统计学意义的显著改善,无论是喹替尼联合信迪利单抗还是呋喹替尼单药的二线治疗,在目前报道的临床研究数据中表现出良好的疗效和安全性。
 
在近日举行的2026年美国临床肿瘤学会泌尿生殖系统肿瘤研讨会(ASCO-GU 2026)大会上,则报道了一项呋喹替尼联合依维莫司用于ICI联合TKI经治晚期RCC患者二线治疗的单臂II期研究[14],结果同样显示了积极的抗肿瘤活性,ORR和中位PFS分别达66.7%和10.0个月,且未增加新的安全性事件。这些研究进展表明无论是TKI还是ICI经治的患者,以呋喹替尼为基础的单药或联合方案在晚期肾癌二线治疗在疗效和安全性方面或有一定潜力。
 
本例患者是RCC肺转移经索拉非尼一线治疗后发生肺和骨转移,入组FRUSICA-2研究并接受呋喹替尼联合信迪利单抗作为二线治疗,且在接受36个周期的靶向联合免疫治疗序贯为呋喹替尼单药治疗,直至目前(截止2026年2月9日)仍维持PR,PFS达38个月。从本例个案以及FRUSICA-2研究数据报道,一定程度上提示了呋喹替尼为基础的二线治疗方案的表现,对于VEGFR-TKI经治患者,呋喹替尼联合免疫二线治疗(序贯呋喹替尼单药治疗)的循证医学证据,支持其为此类患者的二线治疗可考虑的一项方案。
 
参考文献
 
[1].Grimm MO,et al.J Clin Med.2021;10(22):5339.
 
[2].Rosellini M,et al.Nat Rev Urol.2023;20(3):133-57.
 
[3].Cancer.September 2010 Pages 4256-4265
 
[4].Lancet Oncol.2013 May;14(6):552-62
 
[5].Lancet Oncol 2016 S1470-2045(16)30107-3
 
[6].N Engl J Med.2015 Nov 5;373(19):1803-13
 
[7].European Journal of Cancer 178(2023)205e215
 
[8].Lancet Oncol.2021 July;22(7):946-958.
 
[9].Lancet Oncol.2015 Nov;16(15):1473-1482.
 
[10].CSCO肾癌诊疗指南2025
 
[11].Hua Xu·Xin Yao et al.Targeted Oncology.2025 Jan;20(1):113-125.
 
[12].Dingwei Ye,et al.ESMO 2025,2592MO
 
[13].Dingwei Ye,et al.ESMO Asia 2025,540O
 
[14].Kaiwei Yang,et al.2026 ASCO-GU,497.
 
叶定伟教授
复旦大学附属肿瘤医院副院长,泌尿外科学科带头人,泌尿肿瘤MDT首席专家
上海市泌尿肿瘤研究所所长
复旦大学前列腺肿瘤研究所所长
中国抗癌协会男性生殖系统肿瘤专委会(CACA-GO)主任委员
中国临床肿瘤学会(CSCO)前列腺癌专委会主任委员
中国初级卫生保健基金会泌尿外科专委会主任委员
中国抗癌协会泌尿男生殖系肿瘤专委会(CACA-GU)前任主任委员
上海市抗癌协会泌尿肿瘤专委会主任委员
NCCN前列腺癌、肾癌和膀胱癌亚洲诊治共识专家委员会委员
晚期前列腺癌圣加仑共识专家委员会委员、亚太前列腺癌学会(APPS)前任主任委员,亚太冷冻外科学会副会长、国际膀胱癌协作组(IBCG)唯一中国代表
主持国家自然科学基金重点项目、面上项目、上海市协同创新集群项目等国家级、省部级科研基金60余项,累计纵向经费超过6000万元;在Lancet Oncology、Annals of Oncology、Journal of Clinical Oncology、Signal Transduction and Targeted Therapy等国际顶尖SCI期刊发表论文500余篇。
以第一完成人获上海市科技进步一等奖(2次)、教育部科技成果一等奖、上海市医学科技奖一等奖、中国抗癌协会科技奖一等奖、中华医学科技奖二等奖等。
获选国家卫健委有突出贡献中青年专家、吴阶平泌尿外科医学奖、药明康德生命化学研究奖、上海市领军人才、上海市优秀学科带头人、上海工匠、全国卫生计生系统先进工作者等称号,享受国务院特殊政府津贴
 
瞿元元教授
复旦大学附属肿瘤医院
泌尿外科副主任医师、博士研究生导师
肾脏肿瘤亚专科带组医生
入院国家级青年人才
上海市“医苑新星”杰青人才
上海市科技“启明星”人才
上海市扬帆人才
上海市“医苑新星”青年医师培养计划
上海市浦东新区“明珠计划”菁英人才等人才计划
主持国家自然科学基金3项、上海市科委医学创新研究专项、复旦曹娥江基础研究基金个人培育项目等
以第一作者或通讯作者(含共同)在J Hematol Oncol、Nat Biomed Eng、Cell Rep Med、Nat Commun(4篇)、Clin Cancer Res、Cancer Res、J Immunother Cancer等国际权威期刊发表SCI论文60余篇,其中IF&gt;10的SCI论文15篇
 
材料编号:NP-ELU-26N204-Valid Until-2028-March
本资料由和黄医药提供支持
本资料旨在促进医药信息的沟通和交流,而非广告宣传。本资料内容不能以任何方式取代专业的医疗指导,也不应被视为诊疗建议。若您想了解更多有关疾病知识的信息,请咨询医疗卫生专业人士。

本内容仅供医学专业人士参考


肾细胞癌

分享到: 更多