当前位置:肿瘤瞭望>资讯>研究>正文

驱动蛋白样蛋白KIFC2通过稳定CDK4加速HR+/HER2-乳腺癌生长并导致治疗耐药

作者:肿瘤瞭望   日期:2026/4/4 18:01:56  浏览量:2812

肿瘤瞭望版权所有,谢绝任何形式转载,侵犯版权者必予法律追究。

HR+/HER2-乳腺癌是最常见的乳腺癌亚型,具有较高的远期复发和转移风险。内分泌治疗联合CDK4/6抑制剂是晚期/转移性HR+/HER2-乳腺癌的标准治疗方案,但耐药问题仍是临床面临的主要挑战。近期,《临床研究杂志》(The Journal of Clinical Investigation)发表了一项研究[1],揭示了驱动蛋白家族成员C2(KIFC2)通过募集去泛素化酶USP9X稳定CDK4,从而促进HR+/HER2-乳腺癌生长并导致内分泌治疗和CDK4/6抑制剂耐药的关键机制。

编者按:HR+/HER2-乳腺癌是最常见的乳腺癌亚型,具有较高的远期复发和转移风险。内分泌治疗联合CDK4/6抑制剂是晚期/转移性HR+/HER2-乳腺癌的标准治疗方案,但耐药问题仍是临床面临的主要挑战。近期,《临床研究杂志》(The Journal of Clinical Investigation)发表了一项研究[1],揭示了驱动蛋白家族成员C2(KIFC2)通过募集去泛素化酶USP9X稳定CDK4,从而促进HR+/HER2-乳腺癌生长并导致内分泌治疗和CDK4/6抑制剂耐药的关键机制。
 
研究背景
 
HR+/HER2-乳腺癌约占所有乳腺癌的2/3[2]。内分泌治疗(如他莫昔芬)是该亚型的主要治疗手段,但约20%的早期患者和绝大多数转移患者最终会产生耐药[3]。对内分泌治疗耐药的细胞依赖CDK4驱动增殖,因此CDK4/6抑制剂(帕博西尼、瑞博西尼、阿贝西利)联合内分泌治疗可克服耐药,但耐药问题仍是临床挑战。
 
驱动蛋白家族成员是微管相关马达蛋白,参与细胞内物质运输、基因转录和蛋白稳定性调控,其功能异常与癌症相关。KIFC2是驱动蛋白家族中研究较少的成员,在乳腺癌中的功能尚未阐明。本研究旨在探索KIFC2在HR+/HER2-乳腺癌进展和治疗耐药中的作用及机制。
 
研究方法
 
本研究整合分析了复旦大学附属肿瘤医院、TCGA和METABRIC三个HR+/HER2-乳腺癌队列的多组学数据,包括拷贝数变异、RNA测序、体细胞突变和代谢组学数据。通过GISTIC 2.0定义拷贝数变异事件,DESeq2筛选差异表达基因。采用RT-qPCR和免疫印迹验证临床样本中KIFC2的表达水平。
 
在HR+/HER2-MCF7和T47D细胞中,通过慢病毒感染构建KIFC2过表达和敲低的稳定细胞系,采用CCK-8、集落形成实验评估细胞增殖能力。通过裸鼠原位移植瘤模型评估体内成瘤能力。通过细胞活力实验评估对他莫昔芬、阿贝西利、帕博西尼及卡培他滨的药物敏感性。采用患者来源类器官模型验证药物反应。
 
通过免疫沉淀联合质谱分析鉴定KIFC2相互作用蛋白。采用免疫共沉淀、免疫荧光共定位验证蛋白间相互作用。通过放线菌酮追踪实验评估蛋白半衰期,蛋白酶体和溶酶体抑制剂处理明确降解途径,体内泛素化实验检测泛素化水平变化。通过流式细胞术分析细胞周期分布。采用免疫组织化学染色检测临床样本中KIFC2、USP9X、CDK4和Ki-67的表达水平。
 
研究结果

1.KIFC2在HR+/HER2-乳腺癌中高度扩增并与患者不良预后相关
 
通过整合分析FUSCC、TCGA和METABRIC三个队列中驱动蛋白家族成员的拷贝数变异和表达谱,发现KIFC2和KIF14是唯一同时存在高频扩增和表达上调的驱动蛋白家族成员。由于KIF14在包括乳腺癌在内的人类癌症中的功能已有报道,本研究选择研究较少的KIFC2作为研究对象。
 
△KIFC2在HR+/HER2-乳腺癌中扩增和过表达。(A)FUSCC、TCGA和METABRIC数据集中超过5%患者存在KIF家族成员的高水平扩增;(B)FUSCC和TCGA数据集中KIF家族成员在肿瘤与正常样本间的表达差异;(C)维恩图显示同时在三个数据集中存在高频扩增且在两个数据集中表达上调的KIF家族成员;(D)KIFC2在三个数据集中的拷贝数变异状态;(E)FUSCC和TCGA数据集中KIFC2 mRNA表达水平分析;(F)KIFC2拷贝数变异与mRNA表达水平的相关性;(G)15对HR+/HER2-乳腺癌组织及配对癌旁样本中KIFC2 mRNA水平;(H)免疫印迹检测15对样本中KIFC2蛋白水平。
 
在FUSCC、TCGA和METABRIC数据集中,分别有52.5%、49.8%和43.3%的HR+/HER2-乳腺癌患者存在KIFC2扩增。肿瘤组织中KIFC2 mRNA和蛋白水平均显著高于配对正常组织。生存分析显示,KIFC2高表达与患者较差的总生存期相关。
 
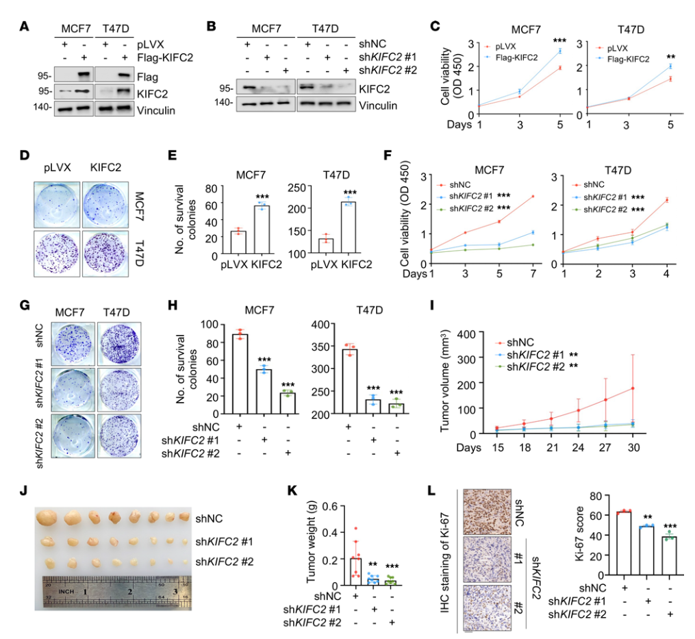
2.KIFC2在体内外促进HR+/HER2-乳腺癌细胞生长
 
在MCF7和T47D细胞中过表达KIFC2显著促进细胞增殖和集落形成能力,而敲低KIFC2则抑制这些能力。裸鼠原位移植瘤模型中,敲低KIFC2显著延缓肿瘤生长,且肿瘤组织中Ki-67阳性细胞比例降低。
 
△KIFC2在体内外促进HR+/HER2-乳腺癌细胞生长。(A-B)免疫印迹验证KIFC2过表达和敲低效率;(C)CCK-8检测过表达KIFC2后的细胞增殖;(D-E)集落形成实验检测过表达KIFC2后的集落形成能力;(F)CCK-8检测敲低KIFC2后的细胞增殖;(G-H)集落形成实验检测敲低KIFC2后的集落形成能力;(I-K)裸鼠原位移植瘤模型中肿瘤生长曲线、移植瘤图像和肿瘤重量;(L)移植瘤组织中Ki-67免疫组化染色及定量分析。
 
3.敲低KIFC2增强HR+/HER2-乳腺癌细胞对他莫昔芬和CDK4/6抑制剂的敏感性
 
敲低KIFC2显著降低MCF7和T47D细胞对他莫昔芬、阿贝西利和帕博西尼的IC50值,集落形成实验也证实敲低KIFC2的细胞对上述药物更敏感。裸鼠移植瘤模型中,敲低KIFC2的肿瘤对他莫昔芬和阿贝西利治疗反应更佳。在患者来源类器官模型中,KIFC2低表达的类器官对上述药物单药或联合治疗更敏感。
 
4.KIFC2扩增与TP53体细胞突变增加及嘧啶代谢活跃相关
 
伴有KIFC2扩增的肿瘤样本中TP53突变频率增加。在野生型p53表达的MCF7细胞中敲低p53后KIFC2蛋白水平上调,重新表达野生型p53可部分逆转这一效应,而突变型p53则无此抑制作用。功能实验显示,野生型p53而非突变型p53可减弱KIFC2介导的生长促进和耐药表型。
 
代谢组学和转录组学分析显示,KIFC2扩增的肿瘤中嘧啶代谢通路一致上调。敲低KIFC2后,细胞内嘧啶代谢产物下调,且KIFC2过表达细胞对抗代谢化疗药物卡培他滨的敏感性增加。KIFC2高表达的患者来源类器官也对卡培他滨更敏感。
 
5.KIFC2与CDK4相互作用并增强其蛋白稳定性
 
免疫沉淀联合质谱分析鉴定出165个KIFC2潜在相互作用蛋白,KEGG富集分析显示这些蛋白主要参与细胞周期等通路。免疫共沉淀证实KIFC2与CDK4存在相互作用,而与E2F5无相互作用。免疫荧光显示KIFC2与CDK4在细胞中部分共定位。
 
过表达KIFC2上调CDK4蛋白水平,敲低KIFC2则下调CDK4蛋白水平,但均不影响CDK4 mRNA水平,提示KIFC2在转录后水平调控CDK4。放线菌酮追踪实验显示,敲低KIFC2缩短CDK4蛋白半衰期,表明KIFC2增强CDK4蛋白稳定性。敲低KIFC2后RB磷酸化水平和cyclin A2表达降低,G1期细胞比例增加,S期细胞比例减少。
 
6.KIFC2通过招募去泛素化酶USP9X稳定CDK4
 
蛋白酶体抑制剂MG-132可部分恢复由KIFC2敲低导致的CDK4下调,而溶酶体抑制剂Baf-A1无此效应。体内泛素化实验显示,过表达KIFC2降低CDK4泛素化水平,敲低KIFC2则增加CDK4泛素化水平。
 
质谱分析提示去泛素化酶USP9X是KIFC2的潜在相互作用蛋白。USP9X在HR+/HER2-乳腺癌中表达上调,且高表达与患者较差的总生存期相关。免疫共沉淀证实KIFC2、CDK4和USP9X三者可形成复合物。敲低USP9X降低CDK4蛋白水平、增加CDK4泛素化水平、缩短CDK4蛋白半衰期。过表达野生型USP9X而非酶活突变体可降低CDK4泛素化水平。USP9X抑制剂WP1130可减弱USP9X介导的CDK4去泛素化并降低CDK4蛋白水平。
 
重要的是,敲低USP9X可减弱KIFC2过表达诱导的CDK4上调和去泛素化。KIFC2过表达增强USP9X与CDK4的相互作用,而KIFC2敲低则减弱这一相互作用。在获得性耐药的MCF7-TamR和MCF7-PalboR细胞中,KIFC2和USP9X表达水平上调,USP9X抑制剂WP1130可部分恢复耐药细胞对相应药物的敏感性。
 
7.CDK4回补部分逆转KIFC2敲低引起的生长抑制和药物敏感性增加
 
在KIFC2敲低细胞中重新表达CDK4,可部分恢复细胞增殖和集落形成能力,并部分逆转对他莫昔芬、阿贝西利和帕博西尼的敏感性增加。裸鼠移植瘤模型中,CDK4过表达部分逆转了由KIFC2敲低引起的肿瘤生长抑制和他莫昔芬/阿贝西利敏感性增加。
 
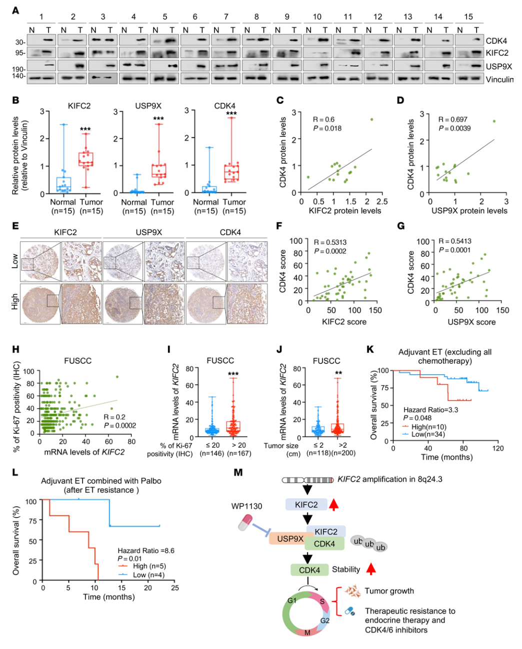
8.临床样本中KIFC2、USP9X和CDK4表达相关性及其预后价值
 
在15对临床样本中,KIFC2、USP9X和CDK4蛋白水平在肿瘤组织中均高于配对正常组织,且KIFC2与CDK4、USP9X与CDK4的蛋白表达水平呈正相关。在45例肿瘤组织的免疫组化染色中同样观察到上述正相关。KIFC2 mRNA水平与Ki-67表达和肿瘤大小呈正相关。在接受单纯辅助内分泌治疗或内分泌治疗耐药后联合帕博西尼治疗的患者中,KIFC2高表达与较低的总生存率相关。
 
△临床样本中KIFC2、USP9X和CDK4表达相关性及其预后价值。(A-B)15对临床样本中KIFC2、USP9X和CDK4蛋白水平;(C-D)KIFC2与CDK4、USP9X与CDK4蛋白表达相关性;(E)45例肿瘤组织中KIFC2、USP9X和CDK4免疫组化染色;(F-G)免疫组化评分相关性分析;(H-I)KIFC2 mRNA与Ki-67表达的相关性;(J)KIFC2 mRNA与肿瘤大小的关系;(K-L)KIFC2表达与接受单纯辅助内分泌治疗或联合帕博西尼治疗患者总生存期的关系;(M)机制模式图。
 
讨论与结论
 
本研究发现KIFC2在HR+/HER2-乳腺癌中高频扩增,其高表达与患者不良预后、TP53突变增加和嘧啶代谢活跃相关。KIFC2基因位于8q24.3,该区域在多种癌症中与染色体获得和扩增相关。
 
KIFC2扩增与TP53突变和嘧啶代谢激活相关。TP53突变也与内分泌治疗和CDK4/6抑制剂耐药相关。嘧啶代谢激活是细胞增殖所必需,与癌症进展和耐药密切相关。抗代谢化疗药物可能对KIFC2扩增患者具有治疗价值。
 
KIFC2促进乳腺癌生长并导致治疗耐药。本研究首次提供证据表明KIFC2作为潜在癌基因,加速肿瘤生长并导致对内分泌治疗和CDK4/6抑制剂的耐药。临床层面,KIFC2高表达与接受相关治疗患者的较差生存相关。
 
机制上,KIFC2通过招募USP9X稳定CDK4。CDK4过表达与内分泌治疗和CDK4/6抑制剂耐药相关。本研究发现USP9X作为CDK4的去泛素化酶,KIFC2通过增强二者相互作用来稳定CDK4。靶向USP9X可能是克服KIFC2介导耐药的有效策略。
 
本研究优势在于:整合多队列多组学数据,系统鉴定KIFC2在HR+/HER2-乳腺癌中的高频扩增和预后价值;通过体内外功能实验和多种模型全面验证KIFC2的促生长和耐药功能;深入阐明KIFC2通过招募USP9X稳定CDK4的分子机制;在临床样本中验证KIFC2、USP9X和CDK4的表达相关性及预后价值。
 
研究局限性包括:KIFC2与TP53突变和嘧啶代谢间的调控机制尚需阐明;KIFC2是否影响其他耐药通路有待探索;USP9X抑制剂的体内效果需更多研究验证;KIFC2作为预测性生物标志物的价值需在大规模前瞻性队列中验证。
 
综上,本研究发现KIFC2在HR+/HER2-乳腺癌中高频扩增,其高表达与患者不良预后相关。KIFC2通过招募去泛素化酶USP9X稳定CDK4,从而促进细胞增殖、加速肿瘤生长,并导致对内分泌治疗和CDK4/6抑制剂的耐药。靶向KIFC2-USP9X/CDK4信号轴可能是克服治疗耐药、改善HR+/HER2-乳腺癌患者预后的潜在策略。KIFC2有希望作为预测治疗反应的生物标志物和潜在治疗靶点。
 
▌参考文献:
 
[1].Shao-Ying Yang,Ming-Liang Jin,et al.Kinesin-like protein KIFC2 stabilizes CDK4 to accelerate growth and confer resistance in HR+/HER2–breast cancer.J Clin Invest.2025;135(12):e183531.
 
[2].Huppert LA,et al.Systemic therapy for hormone receptor-positive/human epidermal growth factor receptor 2-negative early stage and metastatic breast cancer.CA Cancer J Clin.2023;73(5):480–515.
 
[3].Jeselsohn R,et al.ESR1 mutations a mechanism for acquired endocrine resistance in breast cancer.Nat Rev Clin Oncol.2015;12(10):573–583.

本内容仅供医学专业人士参考


乳腺癌

分享到: 更多