当前位置:肿瘤瞭望>百家>病例>正文

妇瘤病例精粹丨宫颈绒毛膜癌:一例具有挑战性的鉴别诊断病例报告

作者:肿瘤瞭望   日期:2026/4/7 15:43:00  浏览量:117

肿瘤瞭望版权所有,谢绝任何形式转载,侵犯版权者必予法律追究。

宫颈绒毛膜癌是罕见的恶性滋养细胞肿瘤,可与妊娠相关(妊娠性)或在非妊娠状态下发生,其中妊娠性的类型更为常见。异位原发性宫颈妊娠性绒毛膜癌极为罕见,因此诊断极具挑战性。一则病例显示,在出现可疑宫颈病变且β-HCG水平升高的情况下,应考虑宫颈绒毛膜癌的可能性。仅凭组织学区分妊娠性绒毛膜癌与非妊娠性绒毛膜癌通常极具挑战性,甚至常常无法实现。因此,分子分析对于准确诊断至关重要。

宫颈绒毛膜癌是罕见的恶性滋养细胞肿瘤,可与妊娠相关(妊娠性)或在非妊娠状态下发生,其中妊娠性的类型更为常见。异位原发性宫颈妊娠性绒毛膜癌极为罕见,因此诊断极具挑战性。一则病例显示,在出现可疑宫颈病变且β-HCG水平升高的情况下,应考虑宫颈绒毛膜癌的可能性。仅凭组织学区分妊娠性绒毛膜癌与非妊娠性绒毛膜癌通常极具挑战性,甚至常常无法实现。因此,分子分析对于准确诊断至关重要。
 
病例简介
 
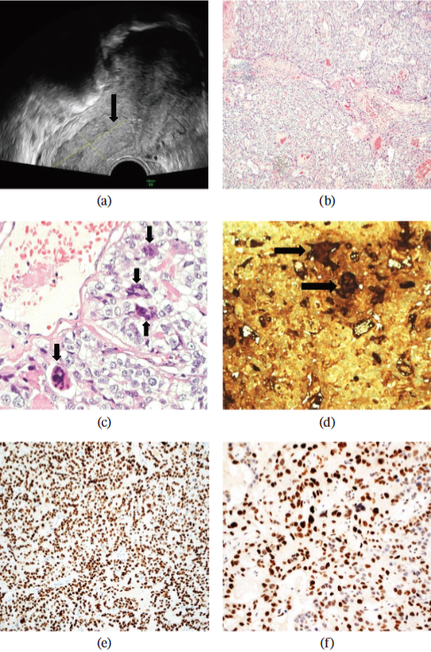
一位43岁女性(孕3产1流1)因反复阴道出血2个月、伴下腹痛就诊。妊娠试验阳性,血清β-HCG为1165 mU/mL。既往史:7年前剖宫产,18年前稽留流产。经阴道超声示:宫腔空虚,宫颈见一大小为42×21 mm的低回声肿块,边界不清,血供丰富(图1a)。因疑似不全流产所致持续性出血,在腹腔镜备用(以应对宫颈异位妊娠可能)下行诊断性刮宫术。对大量出血性碎裂组织进行组织学检查,显示为双相型肿瘤,由多形性单核细胞及散在分布的多核肿瘤细胞构成,伴广泛坏死区域(图1b,1c)。免疫组化确诊为宫颈妊娠性绒毛膜癌(图1d,1e)。随即启动分子检测,并因该病罕见,提请外部病理专家进行二次评估。分期PET-CT及头颅MRI未见远处转移。术后β-HCG降至4 mU/mL。根据FIGO/WHO预后评分系统,该病例归类为FIGO I期(4分)。多学科肿瘤委员会建议行甲氨蝶呤单药化疗。
 
图1:宫颈刮宫组织中双相型肿瘤的超声、HE染色、形态学及免疫组织化学特征。(a)经阴道超声显示宫颈肿块(箭头)。(b)细胞密集的肿瘤概览(HE,×5)。(c)中等大小的多形性单核细胞和散在的多核巨细胞(箭头,HE,×40)。(d)巨细胞β-HCG免疫组织化学染色阳性(箭头,β-HCG,×40)。(e)SALL4核染色阳性(SALL4,×10)。(f)p53免疫组织化学:p53呈异质性(野生型)染色模式(p53,×20)
 
然而,提供第二意见的外部病理专家根据异常的p53染色模式,倾向于诊断为伴有生殖细胞分化的体细胞癌。据此,治疗方案升级,患者接受了全子宫切除术、双侧输卵管卵巢切除术及双侧髂淋巴结清扫术。术后病理:子宫内未见残留肿瘤,淋巴结无转移。
 
治疗结束后,分子检测最终证实肿瘤组织中存在非母源DNA,且无论分子检测还是免疫组化检测均未发现TP53突变(分子检测结果汇总见表1,图1f)。以上结果证实最初诊断为宫颈妊娠性绒毛膜癌是正确的。此后,患者临床随访β-HCG持续阴性。治疗完成后28个月,患者仍处于无病生存状态。
 
表1.所进行的分子分析总结
 
讨论
 
我们报告了一例最初表现为疑似不全流产的女性病例。组织学检查显示特征性的双相型形态,由单核细胞滋养细胞和多核合体滋养细胞构成,这是绒毛膜癌的典型表现(图1)。然而,仅凭形态学难以区分妊娠性绒毛膜癌与非妊娠性绒毛膜癌,必须借助遗传学分析进行鉴别。
 
宫颈妊娠性绒毛膜癌极为罕见,临床表现可类似宫颈异位妊娠,以非特异性阴道出血最为常见。Saito等人曾提出宫颈绒毛膜癌的诊断标准,包括:(1)无原发性子宫体绒毛膜癌证据;(2)组织病理学确诊;以及(3)排除与葡萄胎共存的患者;或伴有肌壁内绒毛膜癌的正常宫内妊娠。妊娠性绒毛膜癌通常起源于子宫体部,超过50%的病例继发于完全性葡萄胎。组织形态学上,这些肿瘤呈浸润性和破坏性生长模式。由于其形态与宫颈鳞状细胞癌相似,诊断时需借助免疫组织化学标志物(如β-HCG和SALL4)进行鉴别。通过分子检测,若发现父源性的非母体DNA即可确诊。
 
非妊娠性绒毛膜癌是一种起源于晚期原始生殖细胞或生殖母细胞的生殖细胞肿瘤,主要发生于儿童和青少年,表现为β-HCG升高,占所有卵巢肿瘤的比例不足1%。与妊娠性绒毛膜癌不同,其DNA基因分型显示等位基因模式与患者自身DNA一致,且常伴有12号染色体异常(尤其是等臂染色体12p)。非妊娠性绒毛膜癌临床病程更具侵袭性,易发生淋巴和腹腔播散,对化疗反应较差。患者治疗通常参照恶性生殖细胞肿瘤,采用BEP方案。
 
第三种需要鉴别的病变是伴有生殖细胞分化的体细胞癌。这类肿瘤包含苗勒管上皮成分以及生殖细胞肿瘤成分或滋养细胞,主要发生于围绝经期或绝经后女性,常表现出卵黄囊分化特征。测序研究显示,其遗传特征与妊娠性绒毛膜癌存在显著差异。苗勒管成分与非苗勒管成分中检测到共享的突变谱(如TP53、ARID1A和PIK3CA),提示其具有共同的克隆起源。等臂染色体12p的缺失及多种拷贝数变异的存在,则提示潜在的基因组不稳定性。
 
在本病例中,分子分析发挥了决定性作用。12p改变的缺失排除了原发性生殖细胞肿瘤;最初怀疑的TP53突变未能证实,亦未检出其他致病性遗传改变,故可排除体细胞癌;最终,非母源DNA的检出证实了妊娠性绒毛膜癌的诊断(分子检测及结果汇总于表1)。
 
结论
 
宫颈妊娠性绒毛膜癌非常罕见,使得诊断充满挑战。在出现阴道出血和β-HCG水平升高的绝经前患者中,及时进行组织学和分子检测对于确保准确诊断和适当处理至关重要。在大出血的情况下,可能需要进行子宫切除术或动脉栓塞术。根据潜在肿瘤的风险分层,推荐使用单药或联合化疗。
 
参考文献
Pfiste K.,et al.Choriocarcinoma in the Cervix:Case Report of aChallenging Differential Diagnosis.Case Reports in Obstetrics and Gynecology,2026;2026:3427582

本内容仅供医学专业人士参考


宫颈绒毛膜癌

分享到: 更多