当前位置:肿瘤瞭望>百家>病例>正文

妇瘤病例精粹丨一则乳腺癌转移所致外阴肿瘤病例

作者:肿瘤瞭望   日期:2026/3/4 13:48:00  浏览量:39

肿瘤瞭望版权所有,谢绝任何形式转载,侵犯版权者必予法律追究。

每一则病例都是一次临床思考的凝练,也是医学进步的基石。在这里,与全球智慧同步,与临床实战接轨。本专栏旨在为妇科肿瘤临床医生、研究者及相关医疗从业者提供案例参考,帮助读者掌握前沿诊疗策略。欢迎关注,共同探索妇科肿瘤诊疗的前沿与实践。

「妇瘤病例精粹」是一个致力于整合国内外妇科肿瘤领域最新病例实践与学术进展的微信专栏。我们每月定期更新,内容涵盖三大方向:
 
☆国际期刊精选:解读学术期刊最新发表的典型病例与治疗突破;
 
☆全球会议速递:分享国际顶级会议(如SGO、ESGO、IGCS)及国内重要学术会议中的病例报告与专家见解;
 
☆国内实战分享:邀请国内一线专家提供真实临床病例,结合多学科视角进行分析与讨论。
 
每一则病例都是一次临床思考的凝练,也是医学进步的基石。在这里,与全球智慧同步,与临床实战接轨。本专栏旨在为妇科肿瘤临床医生、研究者及相关医疗从业者提供案例参考,帮助读者掌握前沿诊疗策略。欢迎关注,共同探索妇科肿瘤诊疗的前沿与实践。
 
原发性外阴癌并不常见,仅占所有妇科癌症的3%-5%。转移至外阴的肿瘤更为罕见,而源自乳腺癌的转移属于例外情况,文献报道病例不足20例。鉴于此类转移的罕见性,其治疗方案尚未形成规范。
 
病例介绍
 
我们介绍本医院观察到的首例乳腺癌转移导致外阴肿瘤的病例。一位38岁女性曾因左乳浸润性导管癌接受治疗。肿瘤大小为5×4厘米,并存在同侧腋窝淋巴结肿大,未发现远处转移。乳腺癌分期为T2N1M0。免疫组化研究显示雌激素和孕激素受体阳性,Ki67:10%,且HER2/neu扩增。患者接受了新辅助化疗,方案为4个周期的FEC(5-氟尿嘧啶、表柔比星和环磷酰胺),随后是4个周期的多西他赛,并联合以曲妥珠单抗为基础的靶向治疗。之后,患者接受了保乳手术治疗,包括肿瘤切除术及同侧腋窝淋巴结清扫术。术后治疗过程平稳。最终病理检查显示:浸润性导管癌,肿瘤27 mm,SBR II级;13枚淋巴结均无转移。患者还接受了胸壁辅助放疗,随后是他莫昔芬治疗。患者在他莫昔芬治疗3年后自行停药并失访。
 
5年后(即乳腺癌诊断10年后),这位患者出现镇痛药难以缓解的头痛、颈部肿胀和外阴不适。检查显示存在肝、肺、胸膜和骨转移。临床检查发现一可疑的2厘米锁骨上淋巴结肿大。左乳未见复发迹象。妇科检查发现右侧大阴唇有一小结节性病变。全身扫描显示脑、肝、肺、胸膜和骨转移。
 
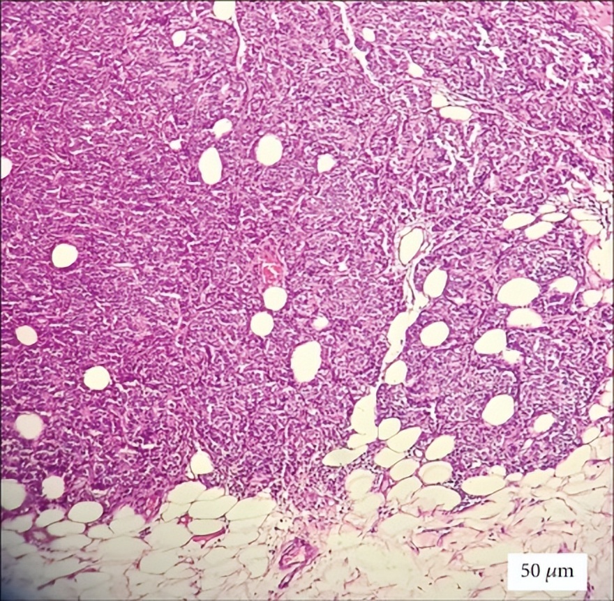
外阴病变活检证实为浸润性导管乳腺癌转移:组织病理学检查显示非典型上皮细胞呈实性增殖,符合转移性乳腺癌特征。肿瘤细胞排列成实性片状,而非单细胞条索状。免疫组织化学分析显示雌激素受体表达阳性,孕激素受体表达阴性,且无HER2蛋白过表达(评分1+)(图1)。
 
图1:外阴病变组织病理学检查(H&E染色,20倍放大)显示非典型上皮细胞呈实性增殖,符合转移性乳腺癌。比例尺=50μm。
 
多学科委员会推荐了卡培他滨姑息化疗。患者在此方案下出现疾病进展,遂开始二线化疗,使用环磷酰胺、甲氨蝶呤和氟尿嘧啶(CMF)方案。患者目前正在接受姑息化疗。
 
讨论
 
乳腺癌最常见的转移部位是肺、肝、骨和脑,而外阴受累极为罕见。导致外阴转移的确切机制尚不清楚,其中血管间隙受累被认为是可能的原因。文献回顾报告的乳腺癌外阴转移病例不到20例。
 
乳腺癌外阴转移通常无症状。临床表现多样,可能类似外阴皮炎或脓肿等良性病变,这给临床诊断带来了挑战。临床诊断需要多学科协作,包括临床检查、影像学检查、组织病理学和免疫组化。对于癌症患者,应考虑到外阴转移的可能性,尤其是有乳腺癌病史的患者。原发性乳腺肿瘤与外阴病变之间如果有相同的组织学特征和激素受体状态,则有助于确诊乳腺癌外阴转移。这一疾病通常显示患者已处于伴有弥漫性多脏器转移的晚期阶段,预后不良。
 
乳腺癌外阴转移的治疗尚无共识。以往的研究建议,治疗应遵循与其他乳腺癌内脏转移相同的原则。如果可行,建议手术切除肿瘤,特别是在病变感染或出血的情况下以实现局部肿瘤控制,并最好随后进行全身性治疗。治疗通常涉及化疗和/或激素治疗,但通常是姑息性的治疗,并且主要基于化疗的方案。治疗决策应由多学科团队制定,考虑患者的总体状况以及转移范围和部位。在疾病得到控制或仅有单一转移部位的情况下,可考虑根治性外阴切除术。手术范围取决于转移灶的大小和位置。
 
本例患者发生外阴以外的多个转移部位。因此,治疗团队没有手术切除外阴病变,而是开始了化疗为主的全身治疗。根据既往研究,放射治疗可作为术后的辅助治疗,或作为不可切除外阴转移患者的主要治疗方法。乳腺癌外阴转移患者的预后取决于是否存在其他转移、转移范围以及对治疗的反应。
 
最后,对于乳腺癌外阴转移的诊断,需要与外阴原发性乳腺样腺癌进行区分鉴别(这种疾病非常罕见),其与乳腺癌在组织学、免疫组化和分子特征上具有相似性。外阴原发性乳腺样腺癌的治疗策略很大程度上借鉴自乳腺癌的治疗方案,其预后优于本例所讨论的乳腺癌外阴转移。
 
结论
 
乳腺癌患者的随访应包括盆腔和妇科检查,以发现外阴或阴道转移。临床工作者需要对乳腺癌患者进行仔细监测,早期发现不常见的转移部位并进行适当处理。处于缓解期的乳腺癌患者的最佳监测时长仍存在争议。根据本病例报告以及文献中引用的其他病例,支持进行长期甚至无限期的随访,目的是尽早发现疾病转移。
 
文源Khessairi,Nayssem,Sakhri,Saida,Chrigui,Maha,Krimi,Ons,Bouaziz,Hanen,Dhiab,Tarek Ben,Breast Metastasis From Vulvar Carcinoma:Case Report and Review of Literature,Case Reports in Obstetrics and Gynecology,2025,9936814,5 pages,2025.

本内容仅供医学专业人士参考


乳腺癌

分享到: 更多