当前位置:肿瘤瞭望>百家>病例>正文

优例新解|精准检测发现HER2分型转化,曲帕经治的肝转移HER2晚期患者二线T-DXd治疗获近两年PFS

作者:肿瘤瞭望   日期:2026/3/13 14:58:56  浏览量:579

肿瘤瞭望版权所有,谢绝任何形式转载,侵犯版权者必予法律追究。

 
病例介绍
 
患者,女性,54岁,2017年10月因“发现左乳肿块2周”就诊。
 
现病史:患者2周前无明显诱因发现左乳肿块,无外伤史,无疼痛不适,无乳头溢液,无皮肤红肿破溃,我院B超提示“左乳多发结节,较大结节BI-RADS 4B类;双侧腋下未见明显肿大淋巴结”。
 
既往史:既往糖尿病病史12年,长期口服阿卡波糖50mg每日两次、二甲双胍0.5g每日三次、格列美脲2mg每日一次,来得时17iu每晚一次,血糖控制可。高血压病史8年,长期口服厄贝沙坦0.075g每日一次,血压控制可。冠心病病史1月,口服倍他乐克23.75mg每日一次、阿司匹林100mg每日一次。
 
个人史及家族史:无殊。
 
月经史:14岁(5-7)/(28-31)49岁,绝经后无异常阴道出血。
 
婚育史:适龄结婚,育有1子,配偶及儿子均体健。
 
专科查体:患者生命体征平稳,神志清,精神好,心肺检查无殊,腹软,肝脾肋下未及。双乳对称,乳房皮肤无红肿,局部未见“酒窝征”和“橘皮征”。左乳11点方向距离乳头0.5cm可及一大小约2.0*1.5cm左右大小结节,质地韧,边界不清,活动度一般,无压痛,与皮肤无明显粘连,左乳头轻度凹陷。双侧乳头无溢血溢液,右乳未见明显异常,双侧腋下、双侧锁骨上及颈部未及肿大淋巴结。
 
实验室检查:血常规、肝肾功能、凝血功能、肿瘤标志物等未见明显异常。
 
影像学检查:

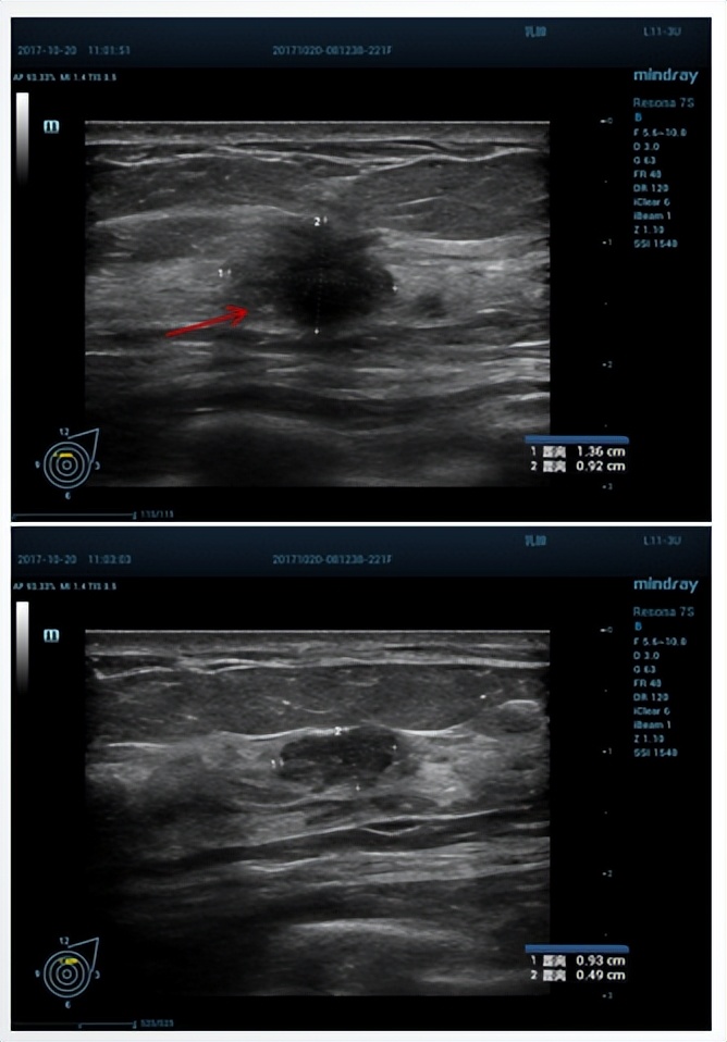
超声诊断:左乳多发结节,较大结节BI-RADS 4B类;双侧腋下未见明显肿大淋巴结。
 
 
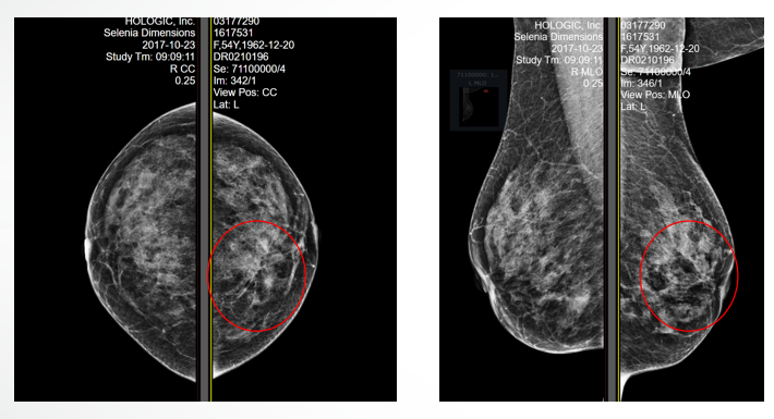
乳腺X线示:左乳内上象限见多发簇状卵圆形结节影,边缘略模糊伴毛刺,大部分边界可见。诊断:左乳内上象限簇状多发结节,性质不肯定,建议活检,BI-RADS 4B。
 
 
乳腺增强MRI示:左乳上象限见一肿块,大小约21.6mm*11.8mm,边界不光整、分叶,周围组织牵拉改变,DWI呈可见弥散受限改变,增强后肿块明显强化,乳头皮肤增厚、强化、回缩。注射造影剂后动态强化曲线呈II型(平台型)。
 
诊断:左乳肿块,BI-RADS 4B。
 
 
其他影像学评估:锁骨上淋巴结超声、头颅MRI、胸部CT、腹部CT、骨ECT未发现转移病灶。
 
病理诊断:
 
左乳肿块穿刺标本:非特殊类型浸润性乳腺癌,Nottingham组织学2级;
 
免疫组化结果:ER 90%+(3+),PR 5%+(3+),c-erbB-2(BC)2+,Ki-67 60%+。
 
FISH检测:未见明显扩增。
 
 
诊断及分期分型:左乳浸润性癌(cT1N0M0 IA期)HR+/HER2-。其他诊断:高血压;2型糖尿病。
 
治疗经过
 
2017年10月31日,患者接受左乳腺癌单侧乳腺切除伴腋窝前哨淋巴结活检术。术后诊断:浸润性乳腺癌(pT1N0M0,HR+/HER2-)。
 
辅助治疗(2017年12月至2022年1月)
 
患者术后21基因检测为高危复发风险,接受TC×4化疗(2017-12-09至2018-02-14)及阿那曲唑治疗,规律复查。
 
2022年1月,患者确诊肝多发转移、全身多发骨转移。

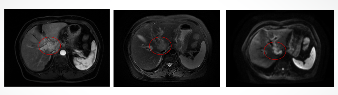
2022-01-23肝脏增强MR示:肝IV段及右叶见多发结节状、团片状长T1、长T2信号灶,DWI及ADC示弥散受限,增强扫描见边缘强化或结节状强化,较大者位于IV段,大小约29mm×21mm。附见:脊柱及两侧肋骨多发异常强化灶,考虑转移。
 
其他影像学检查:
 

全身骨显像提示:全身多发骨转移性肿瘤。
 
胸椎磁共振平扫提示:胸椎及附件多发长T2信号改变,结合病史,符合胸椎及附件多发转移瘤表现。
 
肝脏穿刺病理显示:
 
肝脏肿块:低分化腺癌,考虑乳腺癌转移。
 
免疫组化结果:AFP-,HepPar-1-,GATA-3散在+,ER个别+,PR个别+,Ki-67 20%,c-erbB-2(BC)3+,CK7+,CK20-,CDX2-,Arginase-1-,GPC3-。
 
一线治疗(2022年2月至2023年9月)
 
患者分子分型转变为HR-/HER2+。遂启动一线治疗:2022-2-12至2022-7-30行THP(白蛋白紫杉醇+曲妥珠单抗+帕妥珠单抗)*6方案治疗联合地舒单抗护骨治疗
 
2022-7-30开始内分泌(依西美坦)+HP维持治疗,至2023-09-27。疗效评估:肝转移灶CR,骨转移灶PR。

肝脏转移灶疗效评估:CR
 

骨转移灶疗效评估:PR
 

2023-10-12肝转移灶进展:一线治疗PFS 19月。
 
2023-10-12肝脏MR:肝多发转移瘤化疗后复查,较前片(2023-07-22)病变有增大,肝I段病变为著,累及肝门部结构。
 
 
二线治疗:(2023年10月至2025年9月)
 
2023年10月肝转移灶进展,2023-10-19开始行T-DXd靶向治疗。疗效评估:肝转移灶PR,骨转移灶SD。
 
肝转移灶疗效评估:PR
 

骨转移灶疗效评估:SD
 
 
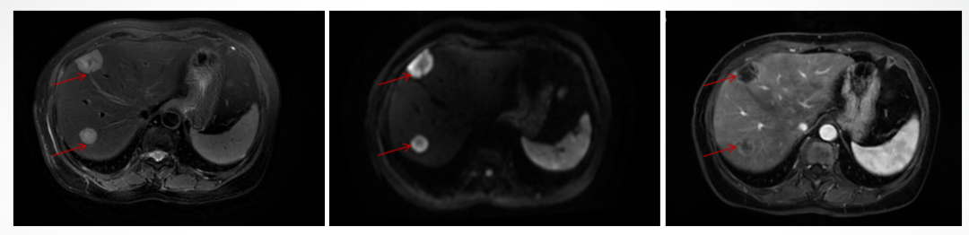
2025-9-9 MRI示:肝多发转移瘤化疗后复查,对比前片(2025-06-11)肝内病变进展,腹膜后淋巴结增大。
 
ECT显示:多发骨转移治疗后复查,多发肋骨、脊柱部分椎体骨盐代谢稍增强,对比前片(2025-3-18)程度有所减低;余部未见明确骨盐代谢增高灶。
 
肝脏穿刺免疫组化结果:AFP-,HepPar-1-,GATA-3散在+,ER个别+,PR(-),Ki-67 40%,c-erbB-2(BC)3+,CK7+,CK20-,CDX2-,Arginase-1-,GPC3-。
 
三线治疗(2025年10月至今)
 
2025年10月临床试验入组(一项评价BAT1006联合曲妥珠及化疗在用于治疗既往接受过抗体药物偶联物(ADC)的HER2阳性不可切除或转移性乳腺癌安全性和有效性的II/III期研究)后随访至今。
 
 
该患者为54岁女性,2017年10月因发现左乳肿块就诊,病理确诊为左乳浸润性癌(cT1N0M0 IA期,HR+/HER2-),接受左乳切除术并通过21基因检测后,患者接受TC方案辅助化疗并联合阿那曲唑内分泌治疗。2022年1月(DFS为51个月)出现肝、骨多发转移,穿刺病理提示分子分型转为HER2阳性;遂行一线治疗予以THP×6+地舒单抗治疗,后依西美坦+HP维持治疗。获肝转移CR、骨转移PR,PFS为19个月。2023年10月患者肝转移进展,进入二线治疗决策时,我们考虑到患者一线已接受曲帕双靶治疗,而DB-03研究中入组了62.1%的曲帕经治人群,证实了T-DXd在此类患者中具有显著的PFS和OS获益;相比之下,二线治疗的PHOEBE研究并未纳入曲帕经治人群,缺乏相应循证支持。因此,二线优选T-DXd靶向治疗,实现肝转移PR、骨转移SD,PFS为23个月。2025年9月肝转移再次进展,目前入组BAT1006联合治疗的II/III期临床研究。患者多线治疗后进展及时入组临床研究,也为后续治疗保留了更多可能性,符合晚期肿瘤“全程管理、持续获益”的治疗理念,为同类病例的诊疗提供了重要参考。
 
专家点评
 
 
该病例是HER2阳性晚期乳腺癌个体化治疗的典型成功案例,诊疗思路规范且贴合最新临床指南,尤其二线治疗的选择极具代表性。从治疗决策看,本病例中的患者在辅助治疗阶段通过21基因检测指导化疗决策;在首次复发后,及时进行转移灶穿刺活检,精准发现分子分型由HER2阴性转变为阳性,为后续抗HER2靶向治疗提供了决定性依据。
 
此外,患者的各线治疗均严格遵循指南,并融合最新临床研究证据选择最优方案:一线经THP方案治疗后肝转移灶进展,此时结合指南推荐及DB-03研究数据,我们选择T-DXd做为二线治疗方案。既往数据显示,DB-03研究入组的患者临床特征符合真实世界临床实践,其中62.1%为曲帕经治患者[1],全人群的中位总生存期(OS)达到了56.4个月[2]。从临床疗效来看,患者二线接受T-DXd治疗实现肝转移灶PR、骨转移灶SD,PFS长达23个月,充分验证了该方案的有效性和安全性。
 
△DESTINY-Breast03研究最终OS结果[2]
 
同时,面对晚期乳腺癌这一需要长期管理的慢性疾病,我们建立了系统性的疗效监测与全程管理策略。通过影像学(MRI、ECT)和临床评估的规律复查,敏锐地发现了肝转移与骨转移对不同治疗反应的差异,并及时调整了治疗策略,也是晚期乳腺癌延长生存的核心逻辑。患者虽合并高血压、糖尿病等多种基础疾病,但因控制良好,未对系统性抗肿瘤治疗造成干扰,保障了治疗的连续性与安全性。
 
综上,本案例完整呈现了晚期乳腺癌通过精准检测、规范序贯治疗和全程主动管理,实现长期高质量生存的诊疗路径,为类似患者的临床实践提供了重要借鉴。
 
于秀艳教授
副主任医师医学博士
浙江大学医学院附属第二医院乳腺外科
专业简介:长期致力于乳腺肿瘤的手术治疗及术后全程管理,在乳腺良性肿瘤的微创治疗、早期乳腺癌的保乳保腋窝手术以及乳腺恶性肿瘤术后修复整形有丰富经验;主要研究方向为乳腺肿瘤免疫基础及临床转化研究,主持及参与国家自然科学基金3项、浙江省自然科学基金3项、发表SCI论文10余篇。
学术兼职:
中国健康促进基金会专家委员会委员;
浙江省乳腺癌筛查质控中心副主任;
浙江省医师协会肿瘤专业委员会委员。
 
姜晶鑫教授
主治医师医学博士
浙江大学医学院附属第二医院乳腺外科
专业简介:致力于乳腺肿瘤的手术治疗及术后全程管理,在乳腺良性肿瘤的手术治疗、乳腺癌综合治疗有丰富经验;主要研究方向为乳腺肿瘤临床研究,发表SCI论文10余篇。
 
参考文献:
 
1、Hurvitz SA,Hegg R,Chung WP,et al.Trastuzumab deruxtecan versus trastuzumab emtansine in patients with HER2-positive metastatic breast cancer:updated results from DESTINY-Breast03,a randomised,open-label,phase 3 trial.Lancet.2023;401(10371):105-117.doi:10.1016/S0140-6736(22)02420-5
 
2、Im SA,et al.PS5-01-30 Trastuzumab deruxtecan(T-DXd)versus trastuzumab emtansine(T?DM1)in patients(pts)with human epidermal growth factor receptor 2-positive(HER2+)metastatic breast cancer(mBC):Final analysis from DESTINY-Breast03.SABCS 2025.

本内容仅供医学专业人士参考


乳腺癌

分享到: 更多